Un homme de 45 ans, diabétique, consulte aux urgences pour une douleur anale, pour laquelle il prend des anti-inflammatoires non stéroïdiens (AINS) depuis quatre jours. À l’examen, un érythème des deux fesses s’étend vers le scrotum (fig. 1).

La cellulite nécrosante ano-périnéale est une suppuration anaérobie rare. Elle a été décrite en 1883 par un dermatologue français, Jean-Alfred Fournier (1832-1914). Elle complique notamment les abcès de l’anus. Le diabète, la surcharge pondérale, l’alcoolisme, divers états d’immunosuppression ainsi que l’usage d’AINS sont des facteurs favorisants.
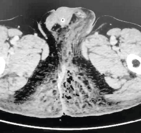
Il s’agit d’une urgence, car elle peut rapidement évoluer vers une défaillance multiviscérale. Il est important de ne pas méconnaître ce diagnostic ; en effet, les signes locaux du début ont une allure banale mais peuvent rapidement évoluer. Ainsi, le placard cutané, initialement érythémateux et œdémateux, devient ensuite infiltré et d’extension rapide vers le scrotum, les plis inguinaux, les lombes, etc. Le crépitement sous-cutané et le suintement verdâtre fétide caractéristiques sont tardifs. À ce stade, les signes systémiques (fièvre ou hypo­thermie, collapsus, confusion, etc.) sont quasiment constants. La mise en évidence de « bulles » en tomodensitométrie (fig. 2) est également caractéristique.
La prise en charge est médico-chirurgicale : elle associe des mesures de réanimation, une antibiothérapie probabiliste à large spectre secondairement adaptée aux prélèvements, un débridement chirurgical large des tissus nécrosés, souvent associé à une stomie de dérivation des matières, voire une oxygénothérapie hyperbare. La mortalité reste cependant élevée.
La prévention est capitale. En proctologie, elle repose sur l’antibioprophylaxie en cas de geste instrumental ou chirurgical et la contre-indication des AINS dans les suppurations. 

Cette fiche est la 18e de la série « En 2021, parlons d’anus ». Retrouvez la série complète sur www.larevuedupraticien.fr, en allant sur ce lien : https://bit.ly/3qRyIMM
pour en savoir plus

Goh T, Goh LG, Ang CH, et al. Early diagnosis of necrotizing fasciitis. Br J Surg 2014;101(1):e119-25.
Stevens DL, Bryant AE, Goldstein EJ. Necrotizing Soft Tissue Infections. Infect Dis Clin North Am 2021;35(1):135-55.

Une question, un commentaire ?