[Mis à jour le 01/08/25]

 

Vous prenez en charge dans votre consultation M. B., 53 ans, pour une douleur du genou gauche. Vous le suivez pour une hypertension artérielle équilibrée par hydrochlorothiazide, ainsi que pour un psoriasis du cuir chevelu non traité car peu invalidant.

La douleur est présente de manière croissante depuis 48 heures et, hier soir, il s’est senti fatigué et a eu des sueurs dans la nuit. Ce matin, la douleur était si intense qu’il lui était impossible de marcher. Il ne se rappelle pas avoir eu de traumatisme récent sur cette zone.
Question 1 - Parmi les éléments suivants, lesquels seraient en faveur d’une étiologie inflammatoire à la douleur du genou ?
Une douleur apparaissant à l’effort évoque un horaire mécanique.
Ce signe est évocateur d’arthrose fémoro-patellaire, à ne pas confondre avec le choc rotulien qui signe la présence d’un épanchement articulaire du genou.
Ceci est non spécifique et peut s’observer en cas d’atteinte inflammatoire ou mécanique.
Si les douleurs articulaires mécaniques sont très fréquentes, il faut rechercher des signes en faveur d’une atteinte inflammatoire pour adapter la prise en charge. Il s’agit essentiellement des signes généraux (fièvre, sueurs/frissons, altération de l’état général), d’un horaire inflammatoire (douleur apparaissant en fin de nuit, dérouillage matinal, amélioration avec l’effort), et des signes inflammatoires locaux.
À l’examen, le genou gauche est discrètement inflammatoire, non mobilisable du fait de la douleur. On constate un épanchement articulaire modéré. La température est à 38,6 °C, le reste de l’examen clinique est sans particularité (en dehors du psoriasis du cuir chevelu connu).
Vous posez le diagnostic d’arthrite aiguë du genou gauche.
Question 2 - À ce stade, quelles hypothèses diagnostiques vous semblent pouvoir expliquer l’arthrite chez ce patient ?
Ici peu probable devant le terrain (homme), la topographie (mono-arthrite), et le caractère très aigu.
Il s’agit du diagnostic d’une mono-arthrite aiguë chez un homme d’âge mur. Les hypothèses à évoquer sont une arthrite microcristalline (notamment la goutte par argument de fréquence), infectieuse, ou un rhumatisme inflammatoire débutant, moins probable, mais à évoquer du fait de l’antécédent de psoriasis.
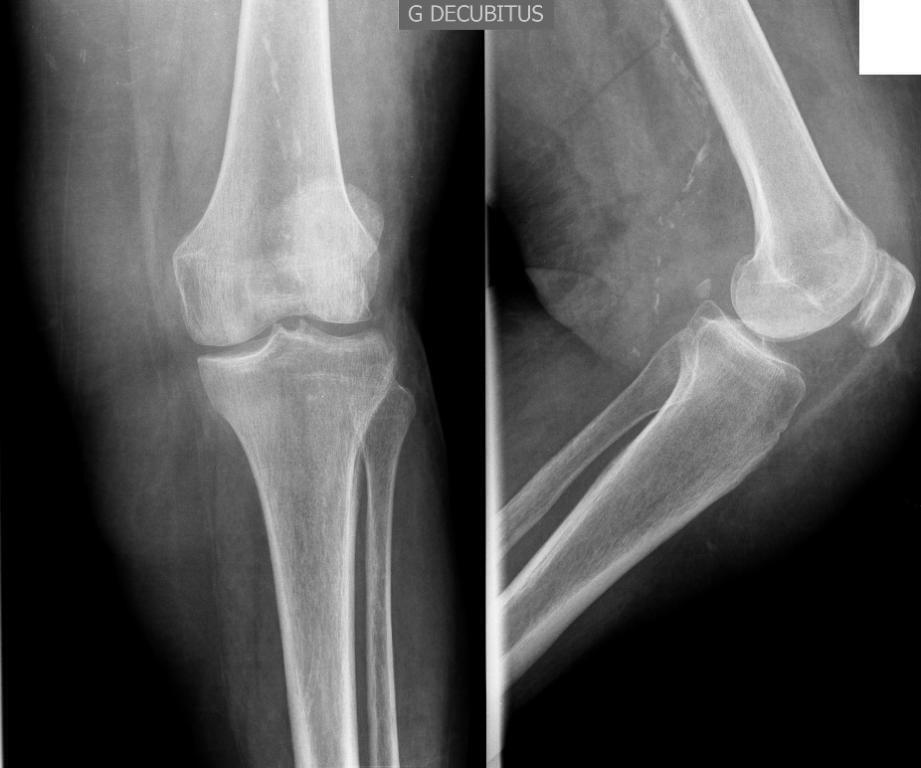
Le patient est hospitalisé. Des radiographies du genou gauche sont réalisées.
Figure 1.

La biologie sanguine montre : leucocytes 15 200/mm3 dont 11 000 polynucléaires neutrophiles/mm3 ; hémoglobine 12 g/dL ; plaquettes 450 000/mm3, CRP : 58 mg/L.
Une ponction articulaire retrouve : 11 500 éléments/mm3, à prédominance de polynucléaires neutrophiles. L’examen direct est négatif en coloration de Gram, la culture bactériologique est en cours.
Question 3 - Compte tenu de ces premiers éléments, quels diagnostics vous semblent pouvoir expliquer l’arthrite chez ce patient ?
Les radiographies sont normales (en dehors de calcifications artérielles), ce qui rend très peu probable une chondrocalcinose articulaire (un liseré calcique cartilagineux est présent dans la majorité des cas), le terrain ainsi que la topographie étant par ailleurs peu typiques. La goutte reste le plus probable et peut donner des atteintes d’allure pseudo-septique très inflammatoires. On ne peut éliminer une arthrite septique avant le résultat de la culture, le germe ayant pu être manqué à l’examen direct.
Le patient vous confirme que c’est la première fois qu’une telle douleur survient au genou, mais se rappelle d’un épisode similaire au pied gauche guéri spontanément il y a quelques mois.
Question 4 - Quels examens complémentaires vous semblent utiles dans ce contexte ?
Inutile pour un diagnostic étiologique.
C’est l’examen clé ici qui permettra de poser le diagnostic d’arthrite microcristalline.
Inutile pour le diagnostic de rhumatisme psoriasique.
Inutile vu la faible suspicion de polyarthrite rhumatoïde.
Elle pourra toutefois être faussement normale en cas d’accès goutteux et sera à répéter à distance.
Question 5 - À ce stade, quel diagnostic vous semble le plus probable ?
La goutte est très probable ici vu le terrain typique, la topographie et la présentation clinique évocatrice, l’antécédent d’arthrite du pied de guérison spontanée et la biologie inflammatoire. La normalité des radios est classique en cas d’évolution récente.
L’examen du liquide articulaire en lumière polarisée retrouve des microcristaux fins et allongés. Vous confirmez le diagnostic d’arthrite goutteuse.
Question 6 - Quel(s) traitement(s) prescrivez-vous au patient dans l’immédiat ?
Préférer la colchicine en première intention, en dehors de contre-indication ou d’intolérance.
Il faut débuter un traitement de la crise par colchicine (éviter une dose de charge trop importante, peu utile et surtout pourvoyeuse d’effets secondaires potentiellement graves), à associer à un traitement antalgique per os et local (glace, par exemple).
L’allopurinol pourrait se discuter chez ce patient (ayant fait deux crises rapprochées a priori), mais son introduction doit être évitée en cas de crise (risque d’aggravation) et une uricémie de base serait un élément intéressant.
Vous prescrivez un traitement par colchicine, rapidement efficace mais compliqué de diarrhées et nausées. À la consultation de suivi, 6 mois plus tard, il vous explique qu’il a eu une nouvelle crise d’arthrite au niveau de la métatarso-phalangienne droite durant ses vacances, actuellement résolue.
À l’examen : poids 89 kg ; taille 170 cm ; pas de signe d’arthrite ou de douleur articulaire. L’uricémie est à 530 µmol/l (N < 420 µmol/l).
Question 7 - Quel(s) traitement(s) prescrivez-vous au patient lors de la consultation ?
Ce patient a une indication à un traitement hypo-uricémiant du fait des crises répétées et de l’hyperuricémie. L’allopurinol sera prescrit en première intention sous couvert de colchicine (risque de déclencher un accès goutteux). Il faudra également conseiller des mesures hygiéno-diététiques, et si possible remplacer le diurétique par un traitement antihypertenseur non hyper-uricémiant avec l’accord du médecin référent.
Question 8 - Quelles mesures hygiéno-diététiques conseillez-vous au patient pour le traitement de sa goutte ?
Pour couvrir l’apport protidique quotidien.
Ces mesures sont essentielles dans le traitement de la goutte. Il faut réduire les aliments riches en purines (viandes, poissons, boissons alcoolisées et bière sans alcool, sodas sucrés…), dont le catabolisme est à l’origine de l’excès d’acide urique.
Vous prescrivez un traitement par allopurinol et colchicine. Une semaine plus tard, le patient vous consulte à nouveau, furieux. Il a dû arrêter la colchicine à cause de diarrhées, et deux jours après il a développé un nouvel accès goutteux au niveau du genou gauche. Il refuse de prendre à nouveau la colchicine, qu’il soupçonne d'être à l’origine de la crise.
Question 9 - Quelles propositions thérapeutiques pouvez-vous faire au patient dans l’immédiat ?
La colchicine est responsable des diarrhées, mais il s’agit d’un effet secondaire fréquent ne contre-indiquant pas le traitement. Il est important de vérifier la dose prescrite et la créatininémie, les effets secondaires digestifs pouvant être un signe de surdosage.
L’allopurinol peut être responsable d’accès goutteux au cours des premières semaines du traitement. Cela ne doit pas conduire à son éviction, mais la prescription doit se faire sous couvert de colchicine ou d’un autre anti-inflammatoire.
Les anti-inflammatoires non stéroïdiens (AINS) sont une alternative à la colchicine en cas d’intolérance/échec.
Pas d’indication pour le traitement de la goutte.
Il s’agit d’une bonne option en cas de mono-arthrite accessible à une ponction/infiltration, avec une bonne efficacité et peu d’effets systémiques.
Finalement, le patient s’améliore sous traitement par AINS. Quelques semaines plus tard, il vous consulte pour une éruption de la jambe. Alors que tout allait bien, il s’est senti inhabituellement fatigué la veille, avec un épisode de frisson, puis a noté une rougeur de la jambe très sensible. Il ne rapporte aucun traumatisme sur ce membre.
Vous examinez le patient.
Figure 2.
Question 10 - Quel diagnostic vous semble le plus probable ?
Peu évocateur car l’éruption n’est pas en regard d’une zone articulaire.
Peu évocateur, car pas de squames, pas de lésion très bien limitée, topographie inhabituelle.
On peut voir sur la figure un érythème de la jambe suspendu, associé à un œdème du membre et compliqué d’une bulle au centre de la lésion (secondaire à l’œdème). Le contexte aigu, les frissons et la localisation sont très évocateurs de dermohypodermite bactérienne (érysipèle). Une toxidermie doit être évoquée de principe devant toute éruption, ce d’autant que le patient reçoit des traitements à risque (AINS, allopurinol), mais la topographie localisée, les frissons, la douleur et l’œdème sont peu évocateurs. La lésion est très étendue pour un érythème pigmenté fixe, qui survient en général quelques heures après la prise du traitement en cause.
La température est à 39 °C, la pression artérielle est normale, il n’y a pas d’arthrite ni d’autre anomalie à l’examen. Vous posez un diagnostic de dermohypodermite bactérienne.
Question 11 - Quelle prise en charge proposez-vous au patient ?
Inutile car peu rentable, risque de cultiver une souillure, et non nécessaire à la mise en route de l’antibiothérapie.
Les AINS peuvent aggraver une infection évolutive, notamment des tissus mous.
Non, car pression artérielle bien équilibrée (risque de poussée tensionnelle à l’arrêt).
Devant l’absence de comorbidité notable et de signes de gravité, un traitement ambulatoire avec une antibiothérapie par amoxicilline est recommandée chez ce patient, sous réserve d’une réévaluation précoce à 48-72 heures.
Quatre jours plus tard, le patient vous appelle car il est épuisé et n’a pas pu se déplacer. Il a bien pris l’amoxicilline que vous lui avez prescrite, mais a toujours de la fièvre (38,9 °C ce matin), des frissons et très mal à la jambe.
Question 12 - Que proposez-vous au patient (une ou plusieurs réponses exactes) ?
Bien qu’une autre cause de fièvre soit possible, la persistance de la douleur et les frissons laissent penser qu’il s’agit d’un échec de l’antibiothérapie, qui est inhabituel et doit faire rechercher une complication locale à l’examen clinique (abcès, fasciite, surtout dans ce contexte de prise d’AINS). La décision de modifier l’antibiothérapie et/ou d’un geste chirurgical ne pourra être prise qu’après avoir examiné le patient. On peut évoquer une mauvaise observance, ou bien un germe résistant à l’amoxicilline, mais ceci est exceptionnel en cas d’infection à streptocoque du groupe A (bactérie habituellement responsable d’érysipèle). Les staphylocoques sont rarement en cause, en dehors d’un traumatisme cutané initial (plaie surinfectée, lésion secondaire à un prurit…), ce qui ne semble pas être le cas ici.
Le patient arrive aux urgences peu après. Il frissonne, la température est à 39 °C, l’érythème est toujours présent et très douloureux avec une zone d’allure nécrotique centrale et une discrète crépitation sous-cutanée. La pression artérielle est à 86/52 mmHg, la fréquence cardiaque a 126/min, vous notez quelques marbrures des genoux.
Question 13 - Quelle est votre conduite à tenir dans l’immédiat (une ou plusieurs réponses exactes) ?
Le patient a un sepsis sévère et doit donc bénéficier d’un remplissage vasculaire en urgence. La cause semble être une fasciite nécrosante, et une bactériémie est probable (frissons), à rechercher par des hémocultures avant la mise en route d’une antibiothérapie intraveineuse à large spectre. Les prélèvements locaux seront réalisés au bloc de manière stérile et profonde, mais ne doivent pas faire retarder la mise en place de l’antibiothérapie qui est une urgence. De même, l’ECBU devra être réalisé de principe mais ne doit pas faire retarder la mise en route du traitement (surtout en cas d’oligo-anurie…) étant donné que la cause du sepsis est évidente.
Vous posez le diagnostic de fasciite nécrosante du membre inférieur gauche.
Question 14 - Quelle prise en charge proposez-vous ?
Le traitement est impérativement chirurgical avec excision de tous les tissus nécrosés, ce qui est souvent délabrant. Un drainage seul est insuffisant (il ne s’agit pas d’un abcès). Une antibiothérapie parentérale à large spectre devra être systématiquement associée.
Le patient est programmé en urgence au bloc opératoire, et son état clinique reste préoccupant, avec une hypotension persistante malgré un premier remplissage. Vous souhaitez prescrire une association d’antibiotiques comprenant entre autres un aminoside (gentamicine). Vous recevez le résultat du dosage de la créatinine qui est à 130 µmol/L (soit une clairance à 53 mL/min/m² selon MDRD, contre 90 mL/min/m² il y a deux mois).
Question 15 - En tenant compte de ces informations, qu’allez-vous prescrire (une ou plusieurs réponses exactes) ?
L’intérêt des aminosides est une bactéricidie très rapide sur les germes circulants, avec un spectre relativement large. La néphrotoxicité est une complication classique de cette classe thérapeutique, mais la balance bénéfices/risques penche ici en faveur de leur utilisation car l’insuffisance rénale est secondaire au sepsis, qui doit donc être traité au plus vite ! Il s’agit d’une situation fréquente en pratique courante, et une dose normale doit être employée pour obtenir une concentration suffisante (risque de toxicité sans efficacité en cas de dose réduite). En revanche, le suivi du résiduel à 24 heures est recommandé, et le traitement ne sera pas réinjecté en cas de concentration trop élevée.

Exercez-vous aux ECN avec les dossiers progressifs et les LCA de La Revue du Praticien