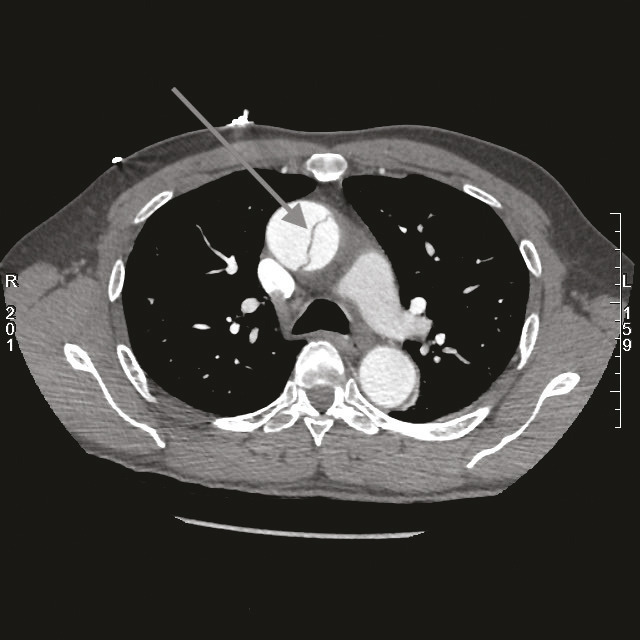
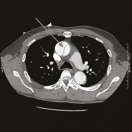
Cet homme de 55 ans, sans antécédent, avait appelé le 15 pour une douleur thoracique irradiant dans la mâchoire et des paresthésies du bras droit, après un effort de marche. À l’examen la pression artérielle était de 165/85 mmHg symétrique, les pouls étaient symétriques, et il n’y avait pas de déficit moteur des 4 membres. L’électrocardiogramme montrait un léger sous-décalage du segment ST en DIII et AvF. Le médecin du SMUR retenait le diagnostic de syndrome coronaire aigu « non ST+ » et orientait le patient vers une unité de soins intensifs cardiologiques où la tomodensitométrie thoracique (fig. 1) révélait finalement une dissection aortique de type A étendue de la racine de l’aorte jusqu’à l’ostium de l’artère carotide primitive gauche (fig. 2).
vos images
La dissection aortique est un dé- chirement de la paroi de l’aorte, au niveau de la média. Elle associe typiquement une douleur en coup de poignard, migratrice, dans un contexte d’hypertension artérielle, une asymétrie tensionnelle et une asymétrie des pouls périphériques. On distingue trois types anatomiques selon la classification de BAKEY (type I, II ou III) ; celle de STANFORD les sépare en fonction du traitement à instaurer : chirurgical (type A) ou médical (type B).1
L’ADD score risk évalue le risque de dissection aortique par la recherche d’éléments regroupés en 3 catégo- ries : les facteurs de risque, les caractéristiques de la douleur et les éléments cliniques. Le risque est à 59,2 % pour un score égal à 2 ou 3 ; 36,5 % pour un score de 1 et 4,3 % pour un score de 0.2
La dissection aortique est un dé- chirement de la paroi de l’aorte, au niveau de la média. Elle associe typiquement une douleur en coup de poignard, migratrice, dans un contexte d’hypertension artérielle, une asymétrie tensionnelle et une asymétrie des pouls périphériques. On distingue trois types anatomiques selon la classification de BAKEY (type I, II ou III) ; celle de STANFORD les sépare en fonction du traitement à instaurer : chirurgical (type A) ou médical (type B).1
L’ADD score risk évalue le risque de dissection aortique par la recherche d’éléments regroupés en 3 catégo- ries : les facteurs de risque, les caractéristiques de la douleur et les éléments cliniques. Le risque est à 59,2 % pour un score égal à 2 ou 3 ; 36,5 % pour un score de 1 et 4,3 % pour un score de 0.2
Références
1. Vanzetto G, Blin D. La dissection aortique. Université Grenoble Alpes, novembre 2002, mise à jour janvier 2005.
2. Rogers AM, Hermann LK, Booher AM, et al. Sensitivity of the aortic dissection detection risk score, a novel guideline-based tool for identification of acute aortic dissection at initial presentation: results from the international registry of acute aortic dissection. Circulation 2011;123:2213-8.
2. Rogers AM, Hermann LK, Booher AM, et al. Sensitivity of the aortic dissection detection risk score, a novel guideline-based tool for identification of acute aortic dissection at initial presentation: results from the international registry of acute aortic dissection. Circulation 2011;123:2213-8.
Une question, un commentaire ?