Gilles, 25 ans, militaire et sportif régulier, consulte pour une douleur de l’avant-pied droit à l’appui évoluant depuis plusieurs semaines.
L’interrogatoire révèle que cette douleur, localisée en regard de la face plantaire du premier rayon, est survenue de manière progressive dans un contexte de majoration notable de son volume d’entraînement sportif en vue de la préparation d’un marathon. Apparaissant initialement lors de la course à pied prolongée, elle est désormais quasi constante à la marche, et calmée par le repos en décharge.
À l’examen clinique, l’articulation métatarso-phalangienne du premier rayon est non œdématiée, non inflammatoire. Le testing des tendons de l’extenseur propre et du fléchisseur propre de l’hallux est indolore. La palpation retrouve une douleur élective localisée en regard du sésamoïde médial.
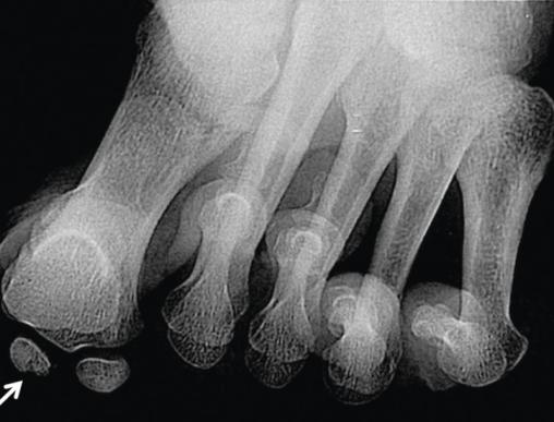
La radiographie avec incidence axiale des sésamoïdes met en évidence un aspect fragmenté et hétérogène du sésamoïde médial (fig. 1 ).
L’échographie décèle une effraction de la corticale du sésamoïde médial, confirmant le diagnostic de fracture de fatigue (fig. 2 ).
L’interrogatoire révèle que cette douleur, localisée en regard de la face plantaire du premier rayon, est survenue de manière progressive dans un contexte de majoration notable de son volume d’entraînement sportif en vue de la préparation d’un marathon. Apparaissant initialement lors de la course à pied prolongée, elle est désormais quasi constante à la marche, et calmée par le repos en décharge.
À l’examen clinique, l’articulation métatarso-phalangienne du premier rayon est non œdématiée, non inflammatoire. Le testing des tendons de l’extenseur propre et du fléchisseur propre de l’hallux est indolore. La palpation retrouve une douleur élective localisée en regard du sésamoïde médial.
La radiographie avec incidence axiale des sésamoïdes met en évidence un aspect fragmenté et hétérogène du sésamoïde médial (
L’échographie décèle une effraction de la corticale du sésamoïde médial, confirmant le diagnostic de fracture de fatigue (
La fracture de fatigue est une maladie d’adaptation de l’os « sain » à l’effort lorsqu’il est soumis à des contraintes répétées inférieures au seuil fracturaire. S’ensuit un remodelage du tissu osseux entraînant une insuffisance osseuse focale et temporaire pouvant conduire, lorsque le point de rupture est atteint, à une fracture partielle ou complète.
Les fractures de fatigue des sésamoïdes de l’hallux sont peu fréquentes (1 à 4 % des fractures de fatigue) et généralement retrouvées chez les sportifs pratiquant à haute intensité l’athlétisme, la danse ou la gymnastique. Le sésamoïde médial est atteint dans 77 % des cas.1
Cliniquement, le patient décrit une douleur localisée sous la première tête métatarsienne à la phase digitigrade du pas, d’apparition progressive lors de la pratique sportive en charge.
L’examen de la marche fait apparaître une boiterie d’évitement, avec un report d’appui antalgique au bord latéral du pied. La palpation confirme le caractère localisé de la douleur en regard du sésamoïde médial ou latéral, pouvant être exacerbée par la flexion dorsale de l’hallux.2
L’examen cherche à mettre en évidence un trouble de la statique plantaire (hallux valgus, hallux rigidus, pied creux pronateur) pouvant favoriser un hyper-appui sur le premier rayon du pied.
La radiographie est l’examen de première intention pour les pathologies sésamoïdiennes. Les incidences axiales des sésamoïdes de Walter-Müller (en décharge) ou de Güntz (en charge) permettent de visualiser les sésamoïdes de l’hallux ,à la recherche d’un aspect fragmenté, et d’éliminer les diagnostics différentiels (sésamoïde bipartita, ostéonécrose avasculaire).3
L’échographie, réalisée par un opérateur expérimenté, met en évidence une fragmentation de la corticale osseuse.
L’IRM objective la fracture de fatigue du sésamoïde par un hypersignal en séquence T2.
La prise en charge de première intention repose sur les antalgiques et sur la mise en place d’une décharge du sésamoïde incriminé par la confection d’une orthèse plantaire comportant un appui rétrocapital et un évitement sésamoïdien, afin de baisser les contraintes à l’appui.2
Des infiltrations locales de dérivés de la cortisone, à visée antalgique, peuvent également être envisagées.
L’arrêt de la pratique sportive en cause est impératif. L’évolution vers la guérison est lente, de six mois à un an.
En l’absence d’efficacité, une immobilisation par botte plâtrée en décharge pendant six semaines est parfois préconisée.4 En dernier recours, une prise en charge chirurgicale (sésamoïdectomie) peut être discutée.
Les fractures de fatigue des sésamoïdes de l’hallux sont peu fréquentes (1 à 4 % des fractures de fatigue) et généralement retrouvées chez les sportifs pratiquant à haute intensité l’athlétisme, la danse ou la gymnastique. Le sésamoïde médial est atteint dans 77 % des cas.1
Cliniquement, le patient décrit une douleur localisée sous la première tête métatarsienne à la phase digitigrade du pas, d’apparition progressive lors de la pratique sportive en charge.
L’examen de la marche fait apparaître une boiterie d’évitement, avec un report d’appui antalgique au bord latéral du pied. La palpation confirme le caractère localisé de la douleur en regard du sésamoïde médial ou latéral, pouvant être exacerbée par la flexion dorsale de l’hallux.2
L’examen cherche à mettre en évidence un trouble de la statique plantaire (hallux valgus, hallux rigidus, pied creux pronateur) pouvant favoriser un hyper-appui sur le premier rayon du pied.
La radiographie est l’examen de première intention pour les pathologies sésamoïdiennes. Les incidences axiales des sésamoïdes de Walter-Müller (en décharge) ou de Güntz (en charge) permettent de visualiser les sésamoïdes de l’hallux ,à la recherche d’un aspect fragmenté, et d’éliminer les diagnostics différentiels (sésamoïde bipartita, ostéonécrose avasculaire).3
L’échographie, réalisée par un opérateur expérimenté, met en évidence une fragmentation de la corticale osseuse.
L’IRM objective la fracture de fatigue du sésamoïde par un hypersignal en séquence T2.
La prise en charge de première intention repose sur les antalgiques et sur la mise en place d’une décharge du sésamoïde incriminé par la confection d’une orthèse plantaire comportant un appui rétrocapital et un évitement sésamoïdien, afin de baisser les contraintes à l’appui.2
Des infiltrations locales de dérivés de la cortisone, à visée antalgique, peuvent également être envisagées.
L’arrêt de la pratique sportive en cause est impératif. L’évolution vers la guérison est lente, de six mois à un an.
En l’absence d’efficacité, une immobilisation par botte plâtrée en décharge pendant six semaines est parfois préconisée.4 En dernier recours, une prise en charge chirurgicale (sésamoïdectomie) peut être discutée.
Références
1. Ribbans WJ, Hintermann B. Hallucal sesamoid fractures in athletes: diagnosis and treatment. Sports Orthop Traumatol 2016;32(3):295-303.
2. Mainard D. Hallux valgus, hallux rigidus et pathologies sésamoïdiennes. Rev Rhum 2014;81(2):93-9.
3. Damiano J. Douleurs de l’avant-pied : podologie. Rev Prat 2010;60(3):345-52.
4. Cohen BE. Hallux sesamoid disorders. Foot Ankle Clin 2009;14(1):91-104.
2. Mainard D. Hallux valgus, hallux rigidus et pathologies sésamoïdiennes. Rev Rhum 2014;81(2):93-9.
3. Damiano J. Douleurs de l’avant-pied : podologie. Rev Prat 2010;60(3):345-52.
4. Cohen BE. Hallux sesamoid disorders. Foot Ankle Clin 2009;14(1):91-104.
Une question, un commentaire ?
Sur le même thème
Article