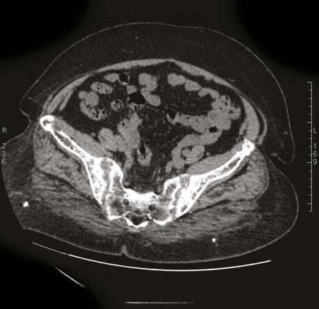
Cette patiente congolaise de 61 ans consultait pour des douleurs lombaires mécaniques anciennes très invalidantes. Les radiographies montraient une déminéralisation osseuse diffuse. La tomodensitométrie du bassin montrait une ostéolyse très particulière des deux sacro-iliaques (fig. 1) ainsi que des lésions fibrokystiques de l’aileron sacré droit (fig. 2). La calcémie était à 3,81 mmol/L, la parathormone était à 1 300 pg/mL (N : 6-50 pg/mL) confirmant le diagnostic d’hyperparathryoïdie primaire. La scintigraphie parathyroïdienne localisait une formation macronodulaire intensément fixante de 30 mm de grand axe au pôle inférieur du lobe thyroïdien droit (fig. 3). La patiente bénéficiait d’une parathyroïdectomie inférieure droite sous anesthésie locale, la calcémie se normalisait en 15 jours et les douleurs s’amélioraient en 3 mois.
vos images
Les lésions osseuses de l’hyperparathyroïdie primaire1 sont classiquement une ostéoporose et plus rarement une résorption sous-périostée des os longs ou de la symphyse pubienne, voire des sacro-iliaques (fig. 1). On peut observer des géodes ovalaires (fig. 2) disséminées (ostéite fibro- kystique de von Recklinghausen) avec des déformations osseuses. Après traitement, il est généralement observé une régression de l’ostéopénie et une persistance des lésions kystiques.
Les lésions osseuses de l’hyperparathyroïdie primaire1 sont classiquement une ostéoporose et plus rarement une résorption sous-périostée des os longs ou de la symphyse pubienne, voire des sacro-iliaques (fig. 1). On peut observer des géodes ovalaires (fig. 2) disséminées (ostéite fibro- kystique de von Recklinghausen) avec des déformations osseuses. Après traitement, il est généralement observé une régression de l’ostéopénie et une persistance des lésions kystiques.
Une question, un commentaire ?
Sur le même thème
Article
Exercice
Exercice