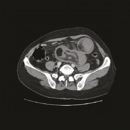
Cette femme de 62 ans était admise aux urgences pour des douleurs abdominales, des vomissements alimentaires et un arrêt des gaz, depuis 2 jours, sans fièvre. Elle avait pour antécédents une gastrite chronique, des douleurs abdominales intermittentes chroniques. L’examen notait une distension abdominale, une sensibilité abdominale diffuse ; les orifices herniaires étaient libres et l’ampoule rectale vide, sans melaena ni rectorragies. La pression artérielle était à 130/70 mmHg. L’échographie abdominale montrait une masse de la fosse iliaque gauche. La tomodensitométrie (TDM) abdominale révélait une masse ovalaire, hypodense, multistratifiée, avec un aspect en cocarde, ayant en son sein une incarcération mésentérique et en périphérie une lésion graisseuse en rapport avec un lipome (fig. 1 ). Le diagnostic d’invagination iléo-iléal secondaire à un lipome était évoqué. Une résection chirurgicale de 100 cm de grêle était réalisée (fig. 2 ).
L’invagination intestinale est définie par le télescopage et la pénétration d’un segment intestinal dans le segment d’aval. Elle survient essentiellement chez le nourrisson (80 % entre 6 mois et 2 ans).1 L’atteinte de l’adulte est rare. Selon les études précédentes, 1 et 5 % des invaginations intestinales aiguës s’observent chez l’adulte contre plus de 95 % chez l’enfant. Un lipome en est exceptionnellement la cause.2 Le diagnostic se fait par l’imagerie, plus rarement par la chirurgie. La TDM montre une masse tissulaire avec une alternance de zones concentriques en cocarde surmontée d’une image en croissant excentrée de densité graisseuse correspondant au boudin.1 Le traitement est chirurgical chez l’adulte, les causes organiques sous-jacentes étant les plus fréquentes.
Références
1. Bentama K, Chemlal I, Benabbou M, et al. Invagination intestinale aiguë consécutive à un lipome grêlique. Pan Afr Med J 2012;12:98.
2. Kamaoui I. Invagination grêlo-grêlique chez l’adulte secondaire à un lipome. Feuill Radiol 2007;47:42-5.
2. Kamaoui I. Invagination grêlo-grêlique chez l’adulte secondaire à un lipome. Feuill Radiol 2007;47:42-5.
Une question, un commentaire ?
Sur le même thème
Exercice
Exercice