Un patient de 19 ans, aux antécédents de consanguinité parentale de premier degré, a une sœur aînée suivie pour maladie de Thévenard avec atteinte des membres inférieurs et supérieurs, compliquée de plusieurs épisodes de surinfection (ostéite et amputation d’une jambe).
Le début des symptômes du patient remonte à l’âge de 12 ans, avec la survenue progressive d’une insensibilité des plantes des deux pieds, associée à de multiples ulcérations indolores au niveau des zones d’appui en regard des 1er, 2e, 3e et 4e orteils gauches et des 1er et 3e orteils droits. Cette symptomatologie n’a jamais fait l’objet d’une prise en charge médicale. L’évolution a été marquée, deux ans plus tard, par la survenue de fractures des 1er et 5e orteils gauches à la suite d’un traumatisme mineur ; la surinfection des lésions plantaires compliquées d’ostéite avait nécessité l’amputation de la 2e phalange du gros orteil gauche (fig. 1 ).
À l’examen podologique, le patient a des pieds cubiques avec un affaissement des voûtes plantaires, un valgus calcanéen en bilatéral avec appui digitigrade, des pieds plats de stade 3 à gauche et stade 2 à droite. Au niveau des avant-pieds, il présente un hallux valgus droit légèrement réductible et des conflits inter-orteils bilatéraux des 1er et 2e orteils à droite et des 2e et 3e à gauche en plus des maux perforants plantaires insensibles et à pourtours kératosiques.
Sur le plan neurologique, le patient présente une anesthésie en gants et en chaussettes, les réflexes ostéotendineux sont abolis aux quatre membres. En revanche, la sensibilité profonde est conservée.
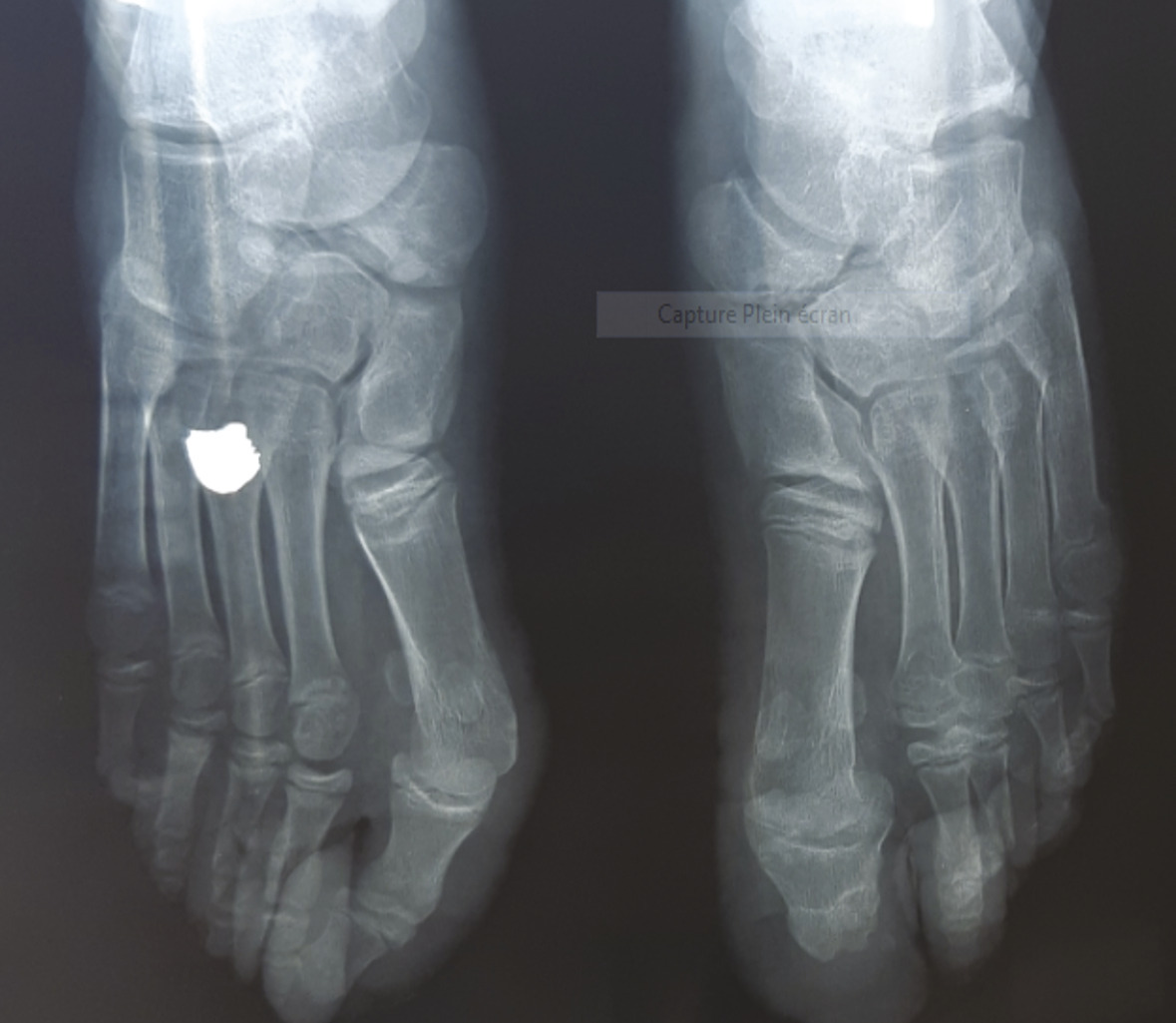
Les explorations radiographiques des avant-pieds montrent des lésions osseuses à type d’érosions, de déminéralisation et de reconstruction des petits os du pied en plus de la subluxation des premières métacarpo-phalangiennes en bilatéral (fig. 2 ).
L’électromyogramme est en faveur d’une polyneuropathie sensitive aux quatre membres.
Le diagnostic de la maladie de Thévenard a été retenu devant les antécédents de consanguinité, le cas similaire chez sa sœur, le syndrome neurogène périphérique sensitif distal aux quatre membres, l’acropathie ulcéromutilante avec déformation des deux pieds et les résultats de l’électromyogramme.
Devant le pied neurologique, le port de chaussures de barouk a été proposé, ainsi que des soins locaux pour les ulcérations plantaires et une mise en décharge.
Le début des symptômes du patient remonte à l’âge de 12 ans, avec la survenue progressive d’une insensibilité des plantes des deux pieds, associée à de multiples ulcérations indolores au niveau des zones d’appui en regard des 1er, 2e, 3e et 4e orteils gauches et des 1er et 3e orteils droits. Cette symptomatologie n’a jamais fait l’objet d’une prise en charge médicale. L’évolution a été marquée, deux ans plus tard, par la survenue de fractures des 1er et 5e orteils gauches à la suite d’un traumatisme mineur ; la surinfection des lésions plantaires compliquées d’ostéite avait nécessité l’amputation de la 2e phalange du gros orteil gauche (
À l’examen podologique, le patient a des pieds cubiques avec un affaissement des voûtes plantaires, un valgus calcanéen en bilatéral avec appui digitigrade, des pieds plats de stade 3 à gauche et stade 2 à droite. Au niveau des avant-pieds, il présente un hallux valgus droit légèrement réductible et des conflits inter-orteils bilatéraux des 1er et 2e orteils à droite et des 2e et 3e à gauche en plus des maux perforants plantaires insensibles et à pourtours kératosiques.
Sur le plan neurologique, le patient présente une anesthésie en gants et en chaussettes, les réflexes ostéotendineux sont abolis aux quatre membres. En revanche, la sensibilité profonde est conservée.
Les explorations radiographiques des avant-pieds montrent des lésions osseuses à type d’érosions, de déminéralisation et de reconstruction des petits os du pied en plus de la subluxation des premières métacarpo-phalangiennes en bilatéral (
L’électromyogramme est en faveur d’une polyneuropathie sensitive aux quatre membres.
Le diagnostic de la maladie de Thévenard a été retenu devant les antécédents de consanguinité, le cas similaire chez sa sœur, le syndrome neurogène périphérique sensitif distal aux quatre membres, l’acropathie ulcéromutilante avec déformation des deux pieds et les résultats de l’électromyogramme.
Devant le pied neurologique, le port de chaussures de barouk a été proposé, ainsi que des soins locaux pour les ulcérations plantaires et une mise en décharge.
La maladie de Thévenard est une acropathie ulcéromutilante familiale rare, à expression variable, transmise selon le mode autosomique dominant. L’évolution est lente à partir des deuxième et troisième décennies de vie. Elle est responsable d’une polyneuropathie sensitivomotrice dégénérative qui affecte le plus souvent les pieds de façon progressive. Les premiers symptômes apparaissent aux extrémités distales des membres inférieurs, plus rarement des membres supérieurs, associant des signes cutanés, ostéoarticulaires et neurologiques de sévérité variable.1,2
L’atteinte cutanée se présente sous forme d’ulcères plantaires indolores au niveau des zones d’appui, apparaissant le plus souvent à la suite d’une marche prolongée ou d’une friction répétée. À un stade avancé, des maux perforants plantaires indolores peuvent apparaître.3
Les troubles de la microcirculation aboutissent à des destructions osseuses débutant au niveau de l’avant-pied. En effet, la résorption osseuse affecte les phalanges distales puis s’étend progressivement à l’épiphyse distale des métatarsiens et secondairement aux os du tarse. Ce processus, aggravé par la mise en charge, peut désolidariser les orteils du squelette du pied et être à l’origine de plusieurs déformations selon le stade de la maladie et la taille du mal perforant plantaire. L’hallux valgus et les orteils en griffe sont les déformations les plus fréquentes, d’autres sont également rapportées telles que « le pied en sabot de cheval »4 avec raccourcissement du membre et le « pied cubique » comme chez ce patient.4
Les signes neurologiques sont liés à la dégénérescence progressive des fibres nerveuses myéliniques et amyéliniques qui est à l’origine d’une atteinte de la sensibilité superficielle thermo-algique essentiellement, presque toujours bilatérale, grossièrement et avec une limite circulaire. Le déficit sensitif intéresse d’abord les extrémités distales (acropathie), remontant progressivement jusqu’à la cheville (en soulier), à mi-jambe (« en chaussettes ») pour les membres inférieurs, et parfois jusqu’aux poignets (« en gants »), au niveau des avant-bras pour les membres supérieurs.5,6 En revanche, la sensibilité profonde et les fonctions végétatives sont moins fréquemment touchées. La motricité est quasi constamment conservée.6
Le diagnostic de maladie de Thévenard repose sur un faisceau d’arguments : familiaux en présence de cas similaires dans la famille, histoire clinique d’évolution et d’apparition des différents syndromes cliniques. L’électromyographie, examen clé, met en évidence des potentiels évoqués sensitifs précocement altérés, contrastant avec des vitesses de conduction motrice normales.5
L’exploration radiographique au niveau des extrémités montre des images d’érosion et de lyse des os du tarse et des phalanges, aussi bien que des images de subluxation articulaire.
La biopsie neuromusculaire a un intérêt pour éliminer les autres causes de neuropathie distale (diabète, amylose et lèpre). La confirmation diagnostique est fondée sur la mise en évidence d’une mutation du gène SPTLC1.7,8
L’évolution de la maladie de Thévenard est progressive, marquée par l’alternance de poussées et de rémissions, plus ou moins longues. L’ostéo-arthropathie nerveuse et la surinfection des lésions cutanées constituent les principales complications.9
La prise en charge thérapeutique n’est pas spécifique en l’absence d’un traitement curatif validé ; elle est multidisciplinaire, dermatologique, neurologique, orthopédique, psychologique. Les lésions cutanées nécessitent des soins locaux, une antibiothérapie en cas de surinfection et la mise en décharge du membre lésé via le port d’une orthèse d’immobilisation jusqu’à cicatrisation complète. En cas de lésions chroniques et/ou surinfectées résistant au traitement local, des interventions chirurgicales telles que le curetage d’ostéite, l’élimination des séquestres osseux, voire des amputations progressives, sont réalisées.9
Le retard diagnostique fréquent et les comorbidités importantes rendent cette affection invalidante.1 ●
L’atteinte cutanée se présente sous forme d’ulcères plantaires indolores au niveau des zones d’appui, apparaissant le plus souvent à la suite d’une marche prolongée ou d’une friction répétée. À un stade avancé, des maux perforants plantaires indolores peuvent apparaître.3
Les troubles de la microcirculation aboutissent à des destructions osseuses débutant au niveau de l’avant-pied. En effet, la résorption osseuse affecte les phalanges distales puis s’étend progressivement à l’épiphyse distale des métatarsiens et secondairement aux os du tarse. Ce processus, aggravé par la mise en charge, peut désolidariser les orteils du squelette du pied et être à l’origine de plusieurs déformations selon le stade de la maladie et la taille du mal perforant plantaire. L’hallux valgus et les orteils en griffe sont les déformations les plus fréquentes, d’autres sont également rapportées telles que « le pied en sabot de cheval »4 avec raccourcissement du membre et le « pied cubique » comme chez ce patient.4
Les signes neurologiques sont liés à la dégénérescence progressive des fibres nerveuses myéliniques et amyéliniques qui est à l’origine d’une atteinte de la sensibilité superficielle thermo-algique essentiellement, presque toujours bilatérale, grossièrement et avec une limite circulaire. Le déficit sensitif intéresse d’abord les extrémités distales (acropathie), remontant progressivement jusqu’à la cheville (en soulier), à mi-jambe (« en chaussettes ») pour les membres inférieurs, et parfois jusqu’aux poignets (« en gants »), au niveau des avant-bras pour les membres supérieurs.5,6 En revanche, la sensibilité profonde et les fonctions végétatives sont moins fréquemment touchées. La motricité est quasi constamment conservée.6
Le diagnostic de maladie de Thévenard repose sur un faisceau d’arguments : familiaux en présence de cas similaires dans la famille, histoire clinique d’évolution et d’apparition des différents syndromes cliniques. L’électromyographie, examen clé, met en évidence des potentiels évoqués sensitifs précocement altérés, contrastant avec des vitesses de conduction motrice normales.5
L’exploration radiographique au niveau des extrémités montre des images d’érosion et de lyse des os du tarse et des phalanges, aussi bien que des images de subluxation articulaire.
La biopsie neuromusculaire a un intérêt pour éliminer les autres causes de neuropathie distale (diabète, amylose et lèpre). La confirmation diagnostique est fondée sur la mise en évidence d’une mutation du gène SPTLC1.7,8
L’évolution de la maladie de Thévenard est progressive, marquée par l’alternance de poussées et de rémissions, plus ou moins longues. L’ostéo-arthropathie nerveuse et la surinfection des lésions cutanées constituent les principales complications.9
La prise en charge thérapeutique n’est pas spécifique en l’absence d’un traitement curatif validé ; elle est multidisciplinaire, dermatologique, neurologique, orthopédique, psychologique. Les lésions cutanées nécessitent des soins locaux, une antibiothérapie en cas de surinfection et la mise en décharge du membre lésé via le port d’une orthèse d’immobilisation jusqu’à cicatrisation complète. En cas de lésions chroniques et/ou surinfectées résistant au traitement local, des interventions chirurgicales telles que le curetage d’ostéite, l’élimination des séquestres osseux, voire des amputations progressives, sont réalisées.9
Le retard diagnostique fréquent et les comorbidités importantes rendent cette affection invalidante.1 ●
Références
1. Turk T, Al Husseini MHDH, Al Assil. A recessive case of Thevenard’s disease, aka. ulcero-mutilating acropathology syndrome with hypodontia. Oxf Med Case Reports 2020;2020(7):omaa055.
2. Facca S, Choughri H, Liverneaux P. Hand involvement in Thevenard’s disease: A new «phlegmonous» form. An exceptional case report. Chir Main 2006;25(5):175-8.
3. Demoures T. Thevenard’s disease. Rev Prat 2009;59(6):750.
4. Ghariani Fetoui N, Aounallah A, Boussofara L, Nabli N, Mesfar R, Ben Kahla M, et al . La maladie de Thévenard : à propos d’une nouvelle observation. Rev Med Int 2019;40:213-4.
5. Kaba K, Diagne NS, Mourabit S, Diop MS, Sow A, Basse A, et al. Difficultés diagnostique et thérapeutique de la maladie de Thévenard en Afrique subsaharienne : description d’un cas. Jaccr Africa 2018;2(1):188-90.
6. Chabli H, Akhdari N, Hocar O, Amal S. Acropathies ulcéromutilantes : à propos de 4 cas et revue de la littérature. Med Chir Pied 2015;31:59-63.
7. Belhaj K, Meftah S, Lahrabli S, Lmidmani F, El Fatimi M. Maladie de Thévenard : à propos d’une observation. Revue neurologique 2014;170(S1):A146.
8. de Palma L, Carloni S, Rapali S, Ventura A. Sporadic ulcerative-mutilating acropathy of the foot. Features and therapeutic indications. Rev Rhum Engl Ed 1999;66(6):319-22.
9. Uday S, Högler W. Nutritional rickets & osteomalacia: A practical approach to management. Indian J Med Res 2020;152(4):356-67.
2. Facca S, Choughri H, Liverneaux P. Hand involvement in Thevenard’s disease: A new «phlegmonous» form. An exceptional case report. Chir Main 2006;25(5):175-8.
3. Demoures T. Thevenard’s disease. Rev Prat 2009;59(6):750.
4. Ghariani Fetoui N, Aounallah A, Boussofara L, Nabli N, Mesfar R, Ben Kahla M, et al . La maladie de Thévenard : à propos d’une nouvelle observation. Rev Med Int 2019;40:213-4.
5. Kaba K, Diagne NS, Mourabit S, Diop MS, Sow A, Basse A, et al. Difficultés diagnostique et thérapeutique de la maladie de Thévenard en Afrique subsaharienne : description d’un cas. Jaccr Africa 2018;2(1):188-90.
6. Chabli H, Akhdari N, Hocar O, Amal S. Acropathies ulcéromutilantes : à propos de 4 cas et revue de la littérature. Med Chir Pied 2015;31:59-63.
7. Belhaj K, Meftah S, Lahrabli S, Lmidmani F, El Fatimi M. Maladie de Thévenard : à propos d’une observation. Revue neurologique 2014;170(S1):A146.
8. de Palma L, Carloni S, Rapali S, Ventura A. Sporadic ulcerative-mutilating acropathy of the foot. Features and therapeutic indications. Rev Rhum Engl Ed 1999;66(6):319-22.
9. Uday S, Högler W. Nutritional rickets & osteomalacia: A practical approach to management. Indian J Med Res 2020;152(4):356-67.
Une question, un commentaire ?