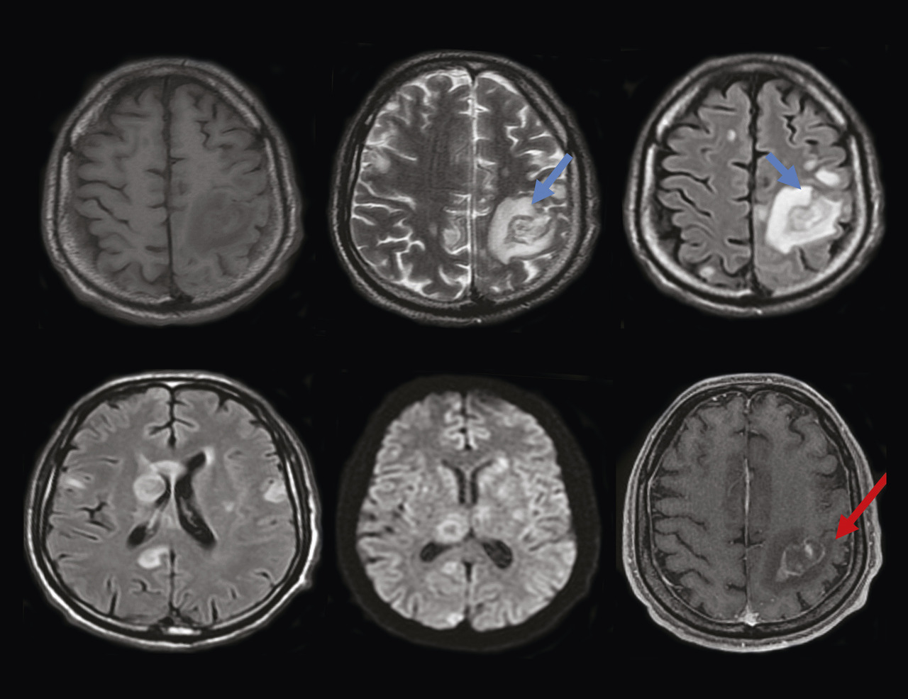
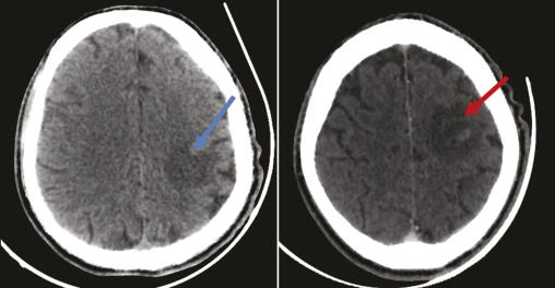
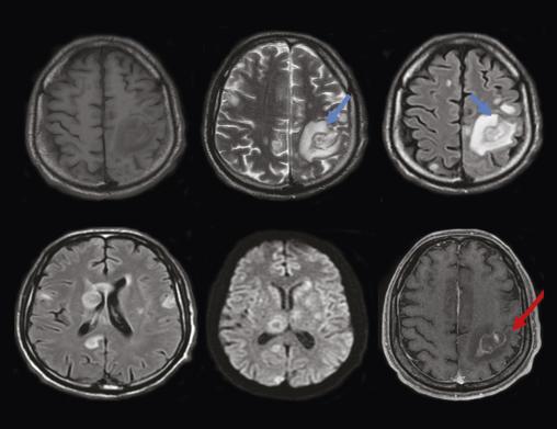
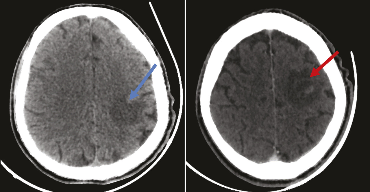
Un homme âgé de 51 ans, sans antécédents particuliers, a depuis deux semaines une hémiplégie droite et une dysarthrie évoluant dans un contexte d’apyrexie et d’altération de l’état général. À l’examen clinique, le patient, conscient, est stable sur le plan hémodynamique et respiratoire ; l’examen neurologique objective un déficit moteur de l’hémicorps droit. Les constantes sont les suivantes : température à 37,3 °C, pression artérielle de 125/75 mmHg, indice de masse corporelle (IMC) de 18,6 kg/m2. Le bilan biologique initial (hémogramme et protéine C-réactive) est normal. Le patient bénéficie en urgence d’une tomodensitométrie (TDM) cérébrale sans et avec injection du produit de contraste montrant des plages hypodenses éparses non systématisées avec prise de contraste annulaire après injection du produit de contraste (fig. 1 ). Par la suite, une imagerie par résonance magnétique (IRM) cérébrale caractérise ces multiples lésions parenchymateuses cérébrales sus- et sous-tentorielles en hypersignal T1, hypersignal T2 hétérogène, en hypersignal et Flair, avec une restriction sur la diffusion, se rehaussant en cible excentrée « target sign », avec œdème périlésionnel (fig. 2 ). Face à cet aspect radiologique, le diagnostic de toxoplasmose cérébrale est évoqué. Puis une sérologie toxoplasmique et au virus de l’immunodéficience humaine (VIH) se révèle positive, avec un taux de CD4 de 89 cellules/mm3. Le patient est traité par un antiparasitaire (pyriméthamine avec acide folinique) associé à une trithérapie antirétrovirale. Malgré une prise en charge rapide, l’évolution est marquée par une aggravation du tableau clinique, avec installation de troubles de la conscience ayant conduit au décès.
La toxoplasmose cérébrale est une infection parasitaire du système nerveux central par un protozoaire nommé Toxoplasma gondii. Cette infection concerne les patients immunodéprimés, notamment ceux infectés par le VIH.1 La toxoplasmose peut d’ailleurs être révélatrice de cette infection.2 Le tableau clinique est variable ; tout signe neurologique chez un patient atteint du VIH doit donc faire suspecter une toxoplasmose cérébrale.2 L’imagerie en coupe (TDM et IRM) joue un rôle important dans la démarche diagnostique en montrant classiquement des lésions multifocales de localisation variable, réalisant un effet de masse sur le parenchyme cérébral. Après injection, les lésions se rehaussent en périphérie en prenant parfois un aspect classique de « cible excentrée ».3 L’effet de masse peut entraîner un engagement sous-falcoriel en cas de lésions hémisphériques ou une hydrocéphalie obstructive.3 La confirmation du diagnostic est biologique.2 Le traitement est anti-infectieux, visant Toxoplasma gondii et le VIH, et symptomatique contre l’hypertension intracrânienne.1 Le traitement antiparasitaire est généralement fondé sur la pyriméthamine en association avec un médicament d’appoint comme la sulfadiazine ou la clindamycine ; l’acide folinique est prescrit en même temps que la pyriméthamine, pour prévenir les carences en folates. Chez les patients atteints du syndrome d’immunodéficience acquise (sida), le traitement de la toxoplasmose cérébrale doit être associé à une thérapie antirétrovirale efficace pour contrôler la charge virale et restaurer la fonction immunitaire.1 Le traitement de l’entourage n’est pas nécessaire. Il est recommandé de tester les partenaires sexuels des personnes vivant avec le VIH pour prévenir la transmission du virus.
Références
1. Magalhaes E, Mourvillier B, Neuville M, Soubirou JF, Voiriot G, Smonig R, et al. Toxoplasmose cérébrale. Réanimation 2015;24:337-43.
2. Lahoucine T, Idalene M, Ihbibane F, Tassi N. La toxoplasmose cérébrale chez les patients infectés par le VIH au Maroc. Rev Franc Labo 2016;2016(487):78-82.
3. Benson JC, Cervantes G, Baron TR, Tyan AE, Flanagan S, Lucato LT, et al. Imaging features of neurotoxoplasmosis. Eur J Radiol Open 2018;5:45-51.
2. Lahoucine T, Idalene M, Ihbibane F, Tassi N. La toxoplasmose cérébrale chez les patients infectés par le VIH au Maroc. Rev Franc Labo 2016;2016(487):78-82.
3. Benson JC, Cervantes G, Baron TR, Tyan AE, Flanagan S, Lucato LT, et al. Imaging features of neurotoxoplasmosis. Eur J Radiol Open 2018;5:45-51.
Une question, un commentaire ?
Sur le même thème
Article Web
Article
Article Web
Exercice