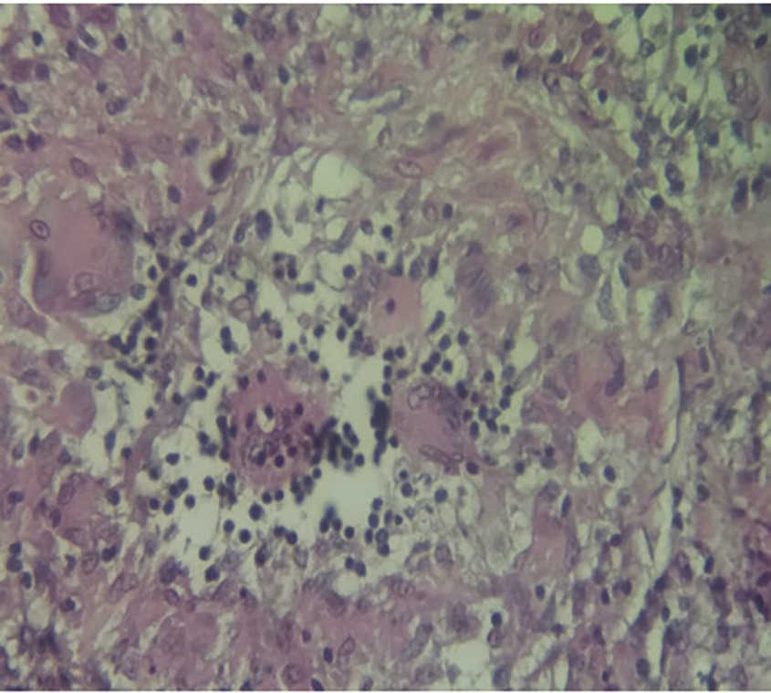
Cette femme de 42 ans consultait pour des épigastralgies post-prandiales associées à des vomissements alimentaires, évoluant depuis 3 mois dans un contexte d’asthénie et d’amaigrissement de 8 kg. L’interrogatoire ne trouvait aucun antécédent (ni diabète ni contage tuberculeux) et l’examen clinique était sans particularité. La gastroscopie montrait une muqueuse antrale érythémateuse siège d’une plage ulcérée (fig. 1). L’examen histologique des biopsies (fig. 2) mettait en évidence un granulome épithélio-giganto-cellulaire centré par une ébauche de nécrose caséeuse, portant ainsi le diagnostic de tuberculose gastrique. La recherche des mycobactéries dans les crachats était négative. Une tomodensitométrie thoraco-abdomino-pelvienne à la recherche d’autres localisations tuberculeuses était normale. L’évolution était favorable sous traitement antibacillaire.

La tuberculose gastrique est une entité rare, même dans les pays où la tuberculose est endémique. Elle est habituellement secondaire à une tuberculose pulmonaire. La tuber- culose gastrique isolée, sans preuve de lésion ailleurs, est encore plus rare ;1 cette rareté est attribuée à la propriété bactéricide de l’acide gastrique, à la pénurie de tissu lymphoïde dans la paroi gastrique et à la muqueuse gastrique intacte.2
Le tableau clinique de la tuberculose gastrique est entièrement non spécifique : douleurs épigastriques, vomissements et perte de poids.1 D’autres tableaux ont été rapportés : hématémèse, perforation, et dysphagie.2
Le diagnostic nécessite la présence sur le tissu biopsié d’un granulome épithélio-giganto-cellulaire avec nécrose caséeuse, ou celle de bacilles acido-alcoolo-résistants dans les tissus, ce qui n’est parfois obtenu qu’à l’examen des biopsies.2

Références

1. Subei I, Attar B, Schmitt G, Levendoglu H. Primary gastric tuberculosis: a case report and literature review. Am J Gastroenterol 1987;82:769-72.

2. Amarapurkar DN, Patel ND, Amarapurkar AD. Primary gastric tuberculosis– a report of 5 cases. BMC Gastroenterol 2003;3:6.

Une question, un commentaire ?