M. C., 45 ans, consulte au mois d’avril en cabinet de neurologie. Il a une sensation de vertiges et de vision double.
Né en Haïti, le patient est arrivé en France à l’âge de 4 ans. Il ne travaille plus depuis le mois de décembre. Auparavant il travaillait comme agent d’entretien. Le patient a une addiction au cannabis sevrée depuis deux ans. Il n’a pas d’antécédent personnel ni familial.
Le patient rapporte depuis trois semaines une diplopie lorsque ses deux yeux sont ouverts, qui disparaît à l’occlusion d’un œil. Il rapporte aussi une sensation d’instabilité à la marche avec une faiblesse de l’hémicorps gauche qui s’aggrave progressivement. Il ne décrit pas de sensation de rotation de lui-même ou de la pièce. Il a vu un ORL qui a prescrit un traitement symptomatique des vertiges, sans efficacité, raison pour laquelle il vous consulte.
L’examen clinique retrouve :
– démarche ataxique avec élargissement du polygone de sustentation ;
– testing moteur (coté de 0 à 5) :
• membres supérieurs (droit/gauche) : biceps 5/4, triceps 5/3, extenseur poignet 5/3, pince pouce-index 5/3, interosseux 5/4,
• membres inférieurs (droit/gauche) : psoas 5/3, ischio-jambiers 5/3, quadriceps 5/4, jambier antérieur 5/4,
• signe de Babinski indifférent, réflexes ostéotendineux non vifs, non diffus, non polycinétiques ;
– sensibilité : hypopallesthésie distale des membres inférieurs, ataxie proprioceptive aux quatre membres mais prédominant à l’hémicorps gauche, nettement aggravée à la fermeture des yeux. Pas d’hypoesthésie à la piqûre ;
– diplopie binoculaire sans paralysie oculomotrice. Pas d’autre anomalie à l’examen des paires crâniennes.
Né en Haïti, le patient est arrivé en France à l’âge de 4 ans. Il ne travaille plus depuis le mois de décembre. Auparavant il travaillait comme agent d’entretien. Le patient a une addiction au cannabis sevrée depuis deux ans. Il n’a pas d’antécédent personnel ni familial.
Le patient rapporte depuis trois semaines une diplopie lorsque ses deux yeux sont ouverts, qui disparaît à l’occlusion d’un œil. Il rapporte aussi une sensation d’instabilité à la marche avec une faiblesse de l’hémicorps gauche qui s’aggrave progressivement. Il ne décrit pas de sensation de rotation de lui-même ou de la pièce. Il a vu un ORL qui a prescrit un traitement symptomatique des vertiges, sans efficacité, raison pour laquelle il vous consulte.
L’examen clinique retrouve :
– démarche ataxique avec élargissement du polygone de sustentation ;
– testing moteur (coté de 0 à 5) :
• membres supérieurs (droit/gauche) : biceps 5/4, triceps 5/3, extenseur poignet 5/3, pince pouce-index 5/3, interosseux 5/4,
• membres inférieurs (droit/gauche) : psoas 5/3, ischio-jambiers 5/3, quadriceps 5/4, jambier antérieur 5/4,
• signe de Babinski indifférent, réflexes ostéotendineux non vifs, non diffus, non polycinétiques ;
– sensibilité : hypopallesthésie distale des membres inférieurs, ataxie proprioceptive aux quatre membres mais prédominant à l’hémicorps gauche, nettement aggravée à la fermeture des yeux. Pas d’hypoesthésie à la piqûre ;
– diplopie binoculaire sans paralysie oculomotrice. Pas d’autre anomalie à l’examen des paires crâniennes.
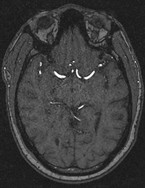
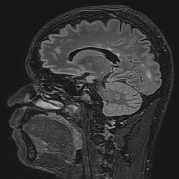
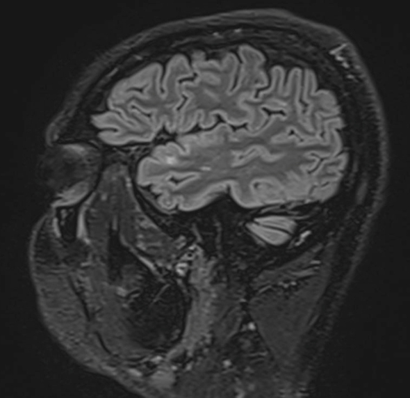
Question 1 - Devant cette présentation clinique, où se situe le plus probablement l’atteinte motrice de M. C. (une ou plusieurs réponses exactes) ?




Par ailleurs, l’atteinte sensitive excluait d’emblée une cause musculaire ou de la jonction neuromusculaire.
Il n’y a aucun élément clinique évocateur de syndrome extra-pyramidal dans cette description.