Un patient de 22 ans, suivi depuis deux ans pour une maladie de Behçet, est traité par colchicine. Il est hospitalisé en raison de douleurs basithoraciques bilatérales et d’une dyspnée de stade 2. L’examen clinique met en évidence trois aphtes buccaux et un aphte scrotal.
Les examens biologiques montrent un syndrome inflammatoire, avec une protéine C-réactive (CRP) à 50 mg/L.
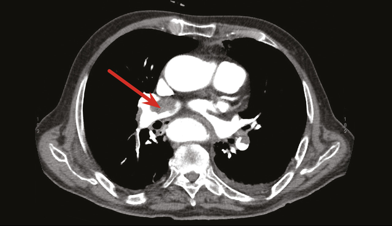
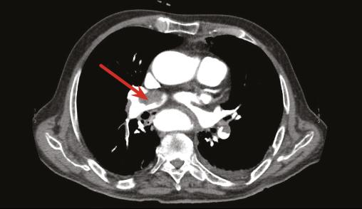
Un angioscanner thoracique objective une embolie pulmonaire bilatérale (fig. 1 ) et une échocardiographie transthoracique montre une masse d’échogénicité hétérogène polylobée mobile mesurant 30 mm, au niveau de l’oreillette droite attachée au septum interatrial (fig. 2 ). L’examen histologique confirme qu’il s’agit d’un thrombus (fig. 3 ). Face à ces résultats, l’indication chirurgicale est posée. Le patient est mis sous traitement anticoagulant, corticothérapie générale et immunosuppresseur.
Les examens biologiques montrent un syndrome inflammatoire, avec une protéine C-réactive (CRP) à 50 mg/L.
Un angioscanner thoracique objective une embolie pulmonaire bilatérale (
La thrombose intracardiaque est une complication rare de la maladie de Behçet qui touche plus souvent les hommes jeunes du bassin méditerranéen et du Moyen-Orient. Le ventricule droit constitue le site d’atteinte préférentiel. La thrombose intracardiaque peut se compliquer d’embolie pulmonaire. Les mécanismes de la genèse du thrombus sont multiples (ischémies, lésions endothéliales...).
L’échographie cardiaque permet de poser le diagnostic ; le myxome et la fibrose endomyocardique étant les diagnostics différentiels. L’angioscanner thoracique, voire l’imagerie par résonance magnétique cardiaque, peuvent aussi contribuer au diagnostic.1
L’histologie a été réalisée dans le but de confirmer le diagnostic de thrombus, sachant que le myxome est un diagnostic différentiel. Le traitement médical à base d’anticoagulants, corticoïdes et immunosuppresseur s’est révélé efficace pour ce patient, avec résolution du thrombus. La chirurgie est associée à une morbidité et mortalité élevées et reste réservée aux thromboses cardiaques massives.2
L’échographie cardiaque permet de poser le diagnostic ; le myxome et la fibrose endomyocardique étant les diagnostics différentiels. L’angioscanner thoracique, voire l’imagerie par résonance magnétique cardiaque, peuvent aussi contribuer au diagnostic.1
L’histologie a été réalisée dans le but de confirmer le diagnostic de thrombus, sachant que le myxome est un diagnostic différentiel. Le traitement médical à base d’anticoagulants, corticoïdes et immunosuppresseur s’est révélé efficace pour ce patient, avec résolution du thrombus. La chirurgie est associée à une morbidité et mortalité élevées et reste réservée aux thromboses cardiaques massives.2
Références
1. Marc K, Iraqui G, Jniene A, Benamor J, Bourkadi E. Thrombose intracardiaque et anévrismes de l’artère pulmonaire au cours de la maladie de Behçet. Rev Mal Respir 2008;25:69-72.
2. Tazi-Mezalek Z, Ammouri W, Maamar M. Les atteintes vasculaires au cours de la maladie de Behçet. Rev Med Interne 2009;Suppl4:S232-7.
2. Tazi-Mezalek Z, Ammouri W, Maamar M. Les atteintes vasculaires au cours de la maladie de Behçet. Rev Med Interne 2009;Suppl4:S232-7.
Une question, un commentaire ?
Sur le même thème
Exercice
Article