Marcelline, âgée de 60 ans, se plaint depuis plusieurs jours d’une pesanteur à l’estomac. Il n’y a ni pyrosis ni fièvre et l’état général est bon. La palpation épigastrique est douloureuse, mais sans masse suspecte.
L’exploration biologique est strictement normale, sans cytolyse hépatique. L’échographie abdominale révèle un macrokyste de 10 cm à l’épigastre, contenant une cloison (fig. 1 ).
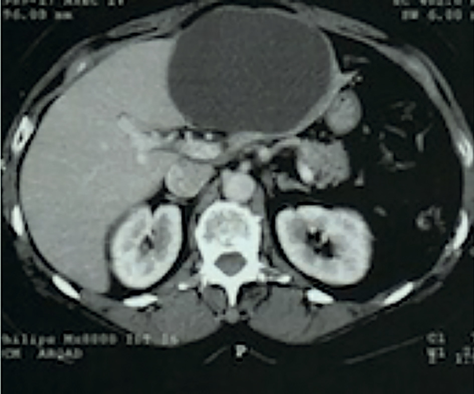
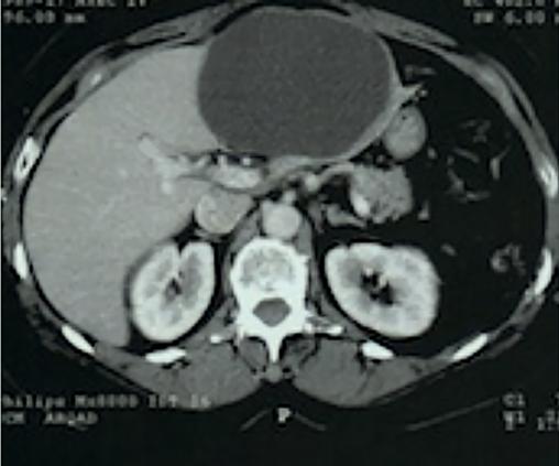
Cette masse augmentant rapidement, avec intensification des douleurs et apparition d’une gêne à l’inspiration, un scanner abdominal avec injection est demandé en urgence. Il confirme un volumineux kyste liquidien occupant tout le segment hépatique n° III (fig. 2 ).
L’exploration biologique est strictement normale, sans cytolyse hépatique. L’échographie abdominale révèle un macrokyste de 10 cm à l’épigastre, contenant une cloison (
Cette masse augmentant rapidement, avec intensification des douleurs et apparition d’une gêne à l’inspiration, un scanner abdominal avec injection est demandé en urgence. Il confirme un volumineux kyste liquidien occupant tout le segment hépatique n° III (
discussion
Les kystes hépatiques sont fréquents et le plus souvent bénins, simples et asymptomatiques. Les plus courants sont biliaires et parfois multiples. Leur prévalence chez les adultes est estimée à 5 % (en échographie), 18 % (au scanner), avec un sex-ratio de 1,5 homme pour 1 femme.
Malgré leur appellation, ils n’ont aucune connexion avec les voies biliaires et leur contenu est séreux. La très grande majorité fait moins de 3 cm de diamètre et n’a aucune traduction clinique ni biologique. Les plus volumineux (5 à 20 cm) surviennent volontiers chez des femmes de plus de 40 ans, par sécrétion très active des cellules qui les bordent. C’est alors qu’ils peuvent être symptomatiques et de morphologie suspecte.
L’évolution lente, sans risque de transformation maligne, ne justifie aucune thérapeutique ni surveillance ; mais elle peut se compliquer comme c’est le cas ici : compression, hémorragie intrakystique, surinfection ou rupture.
Diagnostics différentiels : kyste hydatique (autochtone ou de retour de pays d’endémie), cystadénome (très rare mais à haut risque de transformation maligne), tumeurs primitives ou secon- daires, hématome kystisé.
L’échographie est l’examen de référence dans les cas apparemment simples. Les kystes biliaires ont un aspect caractéristique : la lésion, ronde ou ovalaire, n’a ni paroi externe ni cloison interne, son contenu est anéchogène avec renforcement postérieur des échos.
L’imagerie par résonance magnétique est recommandée en première intention pour la caractérisation des lésions problématiques. En urgence, le scanner abdominal a été plus facile à obtenir pour Marcelline.
L’intervention chirurgicale sous vidéo-laparoscopie, faite 15 jours plus tard, a découvert un kyste biliaire de 10 cm sur-infecté, confirmé par l’analyse histologique. La résection du segment hépatique n° III a été nécessaire pour cette patiente.
Hors complication, le chirurgien peut choisir entre une nécrose des cellules productrices par injection d’alcool absolu, ou une résection du dôme kystique pour vider le contenu dans la cavité péritonéale où il est résorbé en continu. Les résultats sont équivalents. l
Malgré leur appellation, ils n’ont aucune connexion avec les voies biliaires et leur contenu est séreux. La très grande majorité fait moins de 3 cm de diamètre et n’a aucune traduction clinique ni biologique. Les plus volumineux (5 à 20 cm) surviennent volontiers chez des femmes de plus de 40 ans, par sécrétion très active des cellules qui les bordent. C’est alors qu’ils peuvent être symptomatiques et de morphologie suspecte.
L’évolution lente, sans risque de transformation maligne, ne justifie aucune thérapeutique ni surveillance ; mais elle peut se compliquer comme c’est le cas ici : compression, hémorragie intrakystique, surinfection ou rupture.
Diagnostics différentiels : kyste hydatique (autochtone ou de retour de pays d’endémie), cystadénome (très rare mais à haut risque de transformation maligne), tumeurs primitives ou secon- daires, hématome kystisé.
L’échographie est l’examen de référence dans les cas apparemment simples. Les kystes biliaires ont un aspect caractéristique : la lésion, ronde ou ovalaire, n’a ni paroi externe ni cloison interne, son contenu est anéchogène avec renforcement postérieur des échos.
L’imagerie par résonance magnétique est recommandée en première intention pour la caractérisation des lésions problématiques. En urgence, le scanner abdominal a été plus facile à obtenir pour Marcelline.
L’intervention chirurgicale sous vidéo-laparoscopie, faite 15 jours plus tard, a découvert un kyste biliaire de 10 cm sur-infecté, confirmé par l’analyse histologique. La résection du segment hépatique n° III a été nécessaire pour cette patiente.
Hors complication, le chirurgien peut choisir entre une nécrose des cellules productrices par injection d’alcool absolu, ou une résection du dôme kystique pour vider le contenu dans la cavité péritonéale où il est résorbé en continu. Les résultats sont équivalents. l
pour en savoir plus
– Barbier L, Lagadec M, Dokmak S, Ronot M, Soubrane O, Sauvanet A. Kystes et abcès hépatiques. Rev Prat 2015;65:1183-7.
– Baranes L, Luciani A. Imagerie des tumeurs bénignes du foie : actualisation 2014. Association française de formation médicale continue en hépato-gastro-entérologie. http://bit.ly/2FkpG86
– Baranes L, Luciani A. Imagerie des tumeurs bénignes du foie : actualisation 2014. Association française de formation médicale continue en hépato-gastro-entérologie. http://bit.ly/2FkpG86
Une question, un commentaire ?