objectifs
Diagnostiquer une douleur abdominale et lombaire aiguë chez l'enfant et chez l'adulte.
Identifier les situations d'urgence et planifier leur prise en charge.

Épidémiologie

Les douleurs abdominales se distinguent par leur fréquence, puisqu’elles représentent 10 % des admissions aux urgences, ainsi que par leur gravité, 10 % de ces admissions conduisant à un acte chirurgical. Il existe une importante incertitude diagnostique, de 35 à 41 % des patients sortant de l’hôpital sans diagnostic précis.[1] Un âge supérieur à 50 ans ainsi que l’erreur diagnostique elle-même représentent d’importants facteurs de surmortalité. Il ne faut pas méconnaître les causes iatrogènes ni les causes extradigestives, parfois graves, telles que l’infarctus myocardique inférieur.

Physiopathologie

Les mécanismes sont variés : lésions pariétales, distension d’un organe creux, inflammation ou infection du péritoine et/ou des organes, ischémie tissulaire et lésions vasculaires, affections vertébrales, douleurs neurogènes ou projetées, troubles métaboliques…

Démarche diagnostique

Toute douleur récente doit être examinée sans retard et de façon rigoureuse, la clinique guidant le choix rationnel des examens complémentaires avec un double but : apprécier le degré d’urgence pour une prise en charge graduée allant de l’exploration chirurgicale d’emblée ou la réanimation au traitement symptomatique ambulatoire ; identifier la cause, principalement digestive, uro-génitale, ou extra-abdominale, pouvant nécessiter des avis et explorations spécialisés, en urgence ou dans un second temps.
La démarche clinique doit permettre de répondre à 3 questions : existe-t-il des signes de gravité vitale ? faut-il demander un avis chirurgical ? quel traitement envisager pour soulager la douleur ?
Un tableau grave ou chirurgical nécessite la prise en charge immédiate dans un centre hospitalier adapté en se dotant des moyens nécessaires pour soulager et transférer le patient. En l’absence de signe de gravité et/ou d’urgence chirurgicale, il faut toujours calmer la douleur et s’interroger sur l’utilité d’une surveillance simple, d’examens complémentaires, d’un traitement d’épreuve ou d’une hospitalisation.

Interrogatoire

C’est un temps essentiel, au besoin en sollicitant l’avis des proches. Il s’enrichit au fur et à mesure de la progression diag­nostique.
Douleur : unique ou répétée, mode de début, siège et irradiations, type et intensité (à coter), position antalgique…
Signes associés : digestifs (transit [diarrhée, constipation, méléna ou rectorragies], vomissements, hématémèse), génito-urinaires (leucorrhées, ménométrorragies, dysurie, brûlures mictionnelles, pollakiurie, hématurie), extra-abdominaux (cardiovasculaires, pneumologiques, neurologiques et rhumatologiques)…
Circonstances de survenue : activités, repas, voyages, traumatismes physiques ou psychologiques…
Antécédents personnels : médicaux (maladies digestives, rénales, cardiovasculaires, métaboliques…), chirurgicaux (abdominaux, cardiothoraciques…), gynéco-obstétricaux (grossesses, contraception, date des dernières règles, ménopause), médicamenteux (nature et ancienneté : anti-inflammatoires non stéroïdiens [AINS], corticoïdes, tous types d’anticoagulants…), habitudes (aliments, addictions), profession.
Antécédents familiaux : digestifs, néoplasiques, héréditaires…

Examen physique

On relève les constantes cliniques en recherchant des signes de choc éventuels : pression artérielle, fréquences cardiaque et respiratoire, température (si fièvre ≥ 38,5 °C, recherche d’infection d’emblée).
L’inspection abdominale se fait sur un patient déshabillé du thorax jusqu’à mi-cuisse. On apprécie le retentissement de la douleur en recherchant des signes de gravité ou associés évocateurs : comportement du patient (agitation, prostration, frissons, cris…), position (antalgique…), téguments (faciès douloureux, pâleur, ictère, teint gris, marbrures…), abdomen (cicatrices, lésions cutanées, respiration, distension, voussure aux niveaux des aires inguinales, ombilicale…).
La palpation abdomino-lombaire est capitale, douce, progressive et débute à l’opposé de la zone douloureuse pour en définir précisément la localisation. Elle recherche une douleur élective, une masse palpable, une hernie (inguinale, crurale, ombilicale, sur cicatrice), un anévrisme aortique, et surtout la présence d’une défense localisée ou d’une contracture justifiant un avis chirurgical urgent. Elle est complétée par la percussion abdominale (météorisme, ascite, globe vésical, pneumopéritoine), l’auscultation (bruits hydro-aériques, silence auscultatoire, souffles vasculaires…) et les touchers pelviens : toucher rectal (TR) [sensibilité du cul-de-sac recto-vaginal, état de la prostate, de l’ampoule rectale et des selles] et toucher vaginal (TV) en cas d’hypothèse gynécologique (utérus, annexes et ovaires, leucorrhées imposant un prélèvement avant le toucher).
En fonction de la présentation, on explore les autres systèmes et appareils, la peau et les muqueuses.
En situation d’urgence, les hypothèses diagnostiques sont étayées par quelques examens biologiques ou d’imagerie (tableau 1), complétés si besoin par un avis chirurgical.

Examens complémentaires de première intention


Biologie

L’usage systématique de la bandelette urinaire (BU) se justifie par sa facilité de réalisation, son faible coût et son intérêt diag­nostique : forte valeur prédictive négative chez la femme, et positive chez l’homme pour le diagnostic de l’infection urinaire, le diagnostic d’acidocétose pour le diabète de type 1, mais pas pour l’acidocétose alcoolique. Une hématurie isolée permettra d’argumenter pour une colique néphrétique selon la clinique.
La normalité de l’hémogramme est un signe négatif, parfois faussement rassurant. L’hyperleucocytose avec polynucléose neutrophile oriente principalement vers une origine infectieuse, mais une élévation modérée (< 15 G/L) n’est pas spécifique (stress douloureux, tabagisme chronique…). Une anémie est inter­prétée en fonction du contexte et de ses caractéristiques (hémorragie aiguë ou distillante ferriprive…).
Le couple protéine C réactive (CRP) > 50 mg/L et hyperleucocytose > 15 G/L offre une bonne valeur prédictive positive pour une douleur abdominale aiguë grave nécessitant des examens d’imagerie. Cependant, bien qu’augmentant plus précocement que la vitesse de sédimentation (VS) et le fibrinogène, une CRP < 50 mg/L, même après 48 heures d’évolution clinique, ne saurait éliminer une urgence et dispenser d’une imagerie diag­nostique (en fonction du contexte clinique).[2] Penser aussi aux causes non infectieuses d’hyperleucocytose : néoplasie, leucémie, corticothérapie, tabagisme, grossesse et post-partum, voire effort ou stress important.
L’élévation de la lipasémie oriente vers une pancréatite aiguë.
Les transaminases (ALAT) élevées orientent vers une hépatopathie ou une pancréatite liée à une lithiase biliaire.
L’élévation des phosphatases alcalines et/ou de la bilirubinémie peut orienter vers une pathologie biliaire (cholécystite ou angiocholite).
Les tests de coagulation (numération plaquettaire, international normalized ratio [INR], temps de céphaline activée [TCA]) sont systématiques en cas de traitement anticoagulant.
La créatininémie et l’estimation du débit de filtration glomérulaire (DFG) sont utiles avant l’imagerie avec injection d’iode, mais également pour rechercher un obstacle urinaire, une insuffisance rénale aiguë notamment sur déshydratation fréquente dans les tableaux douloureux abdominaux, et enfin pour adapter des traitements médicamenteux le cas échéant.

Imagerie

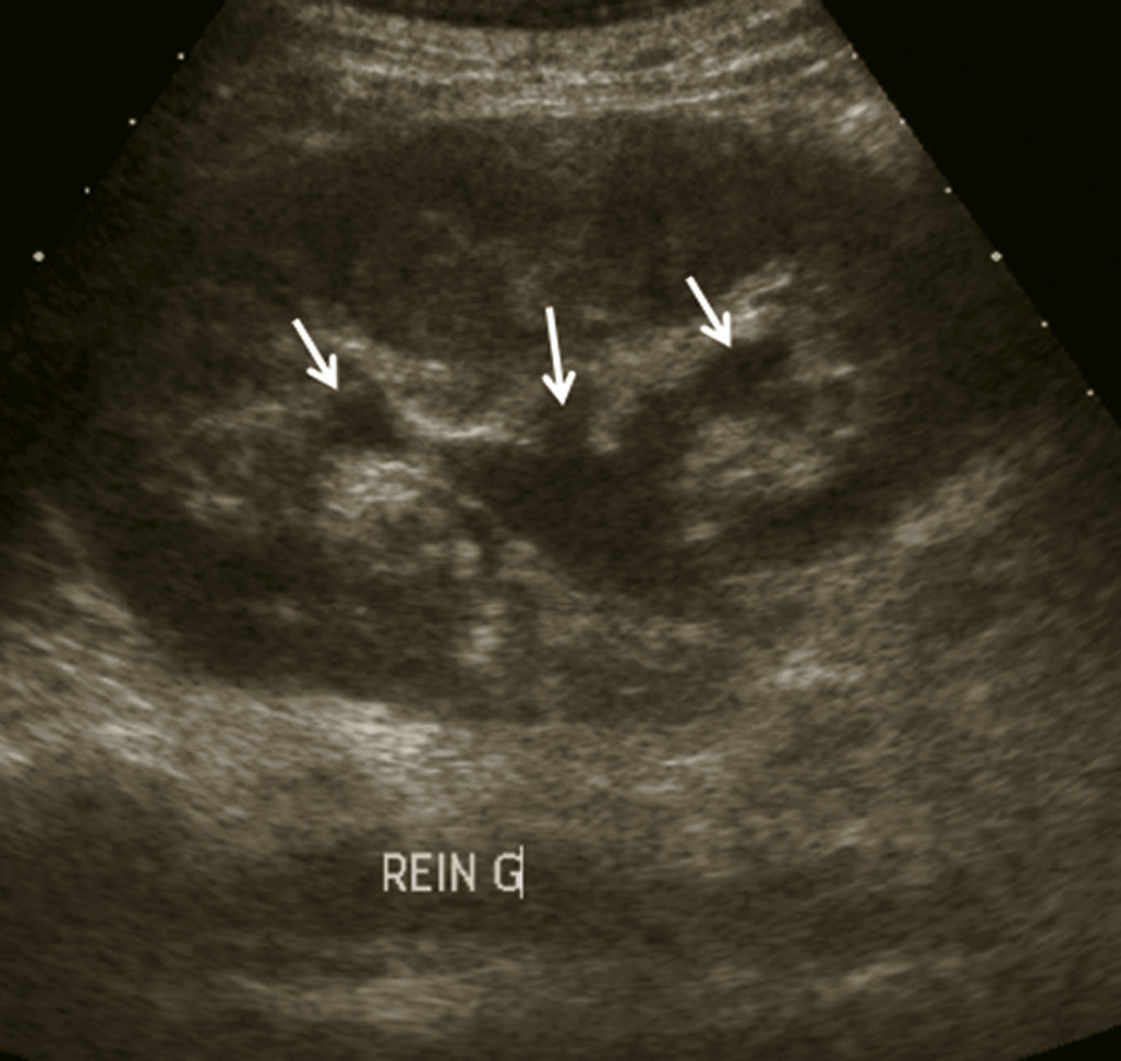
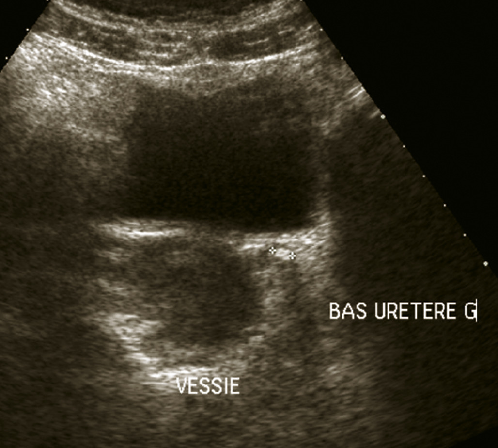
L’échographie abdominale a l’inconvénient d’être opérateur-­dépendante. Ses principales indications sont la lithiase biliaire et ses complications, des douleurs abdominales chez les patients minces et surtout chez la femme pour rechercher une pathologie gynécologique en utilisant le cas échéant des sondes endocavitaires. Ainsi, l’échographie est utile pour affirmer la lithiase biliaire et la cholécystite aiguë (fig. 1) ou objectiver une dilatation de la voie biliaire principale (VBP), rechercher une urétéro-hydronéphrose et des signes indirects en cas de colique néphrétique (fig. 2 et 3), débrouiller le diagnostic des douleurs abdomino-­pelviennes chez la femme.
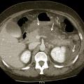
Le scanner abdomino-pelvien, voire thoraco-abdomino-pelvien, avec si possible injection de produit de contraste iodé (absence de contre-indication, notamment allergie à l’iode, insuffisance rénale sévère et grossesse), s’est progressivement imposé comme moyen d’imagerie diagnostique de première intention grâce à sa précision anatomique, sa rapidité de réalisation, son efficacité diagnostique dans la plupart des tableaux abdominaux urgents à l’exception de la pathologie aiguë annexielle gynécologique. C’est l’examen de choix dans les pancréatites aiguës après 48 à 72 heures d’évolution (fig. 4). L’irradiation et la néphrotoxicité des produits de contraste iodé limitent une application encore plus large chez l’insuffisant rénal, l’enfant, et la femme en âge de procréer (dosage préalable des ß-hCG pour s’assurer de l’absence de grossesse en cours), chez lesquels l’imagerie par résonance magnétique (IRM) abdomino-pelvienne est particulièrement indiquée, mais souvent plus difficile à obtenir en urgence.

Examens complémentaires d’urgence contextuels


Électrocardiogramme (ECG)

Le syndrome coronarien aigu, de par sa mortalité et sa présentation trompeuse, impose la réalisation systématique d’un ECG chez un patient âgé, ou avec des facteurs de risque cardiovasculaires.

Imagerie

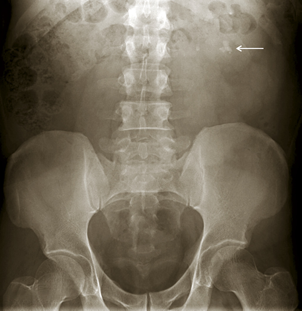
Les clichés d’abdomen sans préparation (ASP) ne sont plus indiqués dans les douleurs abdominales aiguës inexpliquées ou justifiant une hospitalisation (suspicion d’urgence chirurgicale), ou en cas de fièvre associée (suspicion d’abcès abdominal), ou de suspicion de perforation, d’appendicite ou de diverticulite sigmoïdienne. Dans ces cas, l’examen de choix est le scanner abdomino-pelvien et, suivant les cas, l’échographie abdomino-pelvienne ou l’IRM abdomino-pelvienne chez la femme enceinte. Les clichés d’ASP restent indiqués : en cas de constipation chez la personne âgée ou en milieu psychiatrique (en l’absence de technique alternative d’imagerie), ou de suspicion de colectasie au cours d’une maladie inflammatoire chronique de l’intestin (MICI), ou en deuxième intention au cours d’une pyélo­néphrite après visualisation d’une dilatation des cavités pyélo­calicielles à l’échographie (fig. 5), ou en cas d’ingestion de corps étranger. L’ASP ne doit pas retarder la réalisation d’examens d’imagerie plus utiles au diagnostic étiologique.
La radiographie thoracique n’est pas systématique, mais peut se révéler pertinente en cas de signes respiratoires pour rechercher une cause pleurale ou pulmonaire.

Pathologies du tube digestif

Ulcères gastroduodénaux

L’épigastralgie peut être inaugurale, particulièrement en cas de prise d’anti-inflammatoires non stéroïdiens (AINS) ou de complication : perforation, hémorragie. La maladie ulcéreuse gastroduodénale a deux causes principales : l’infection à Helicobacter pylori et la prise d’AINS.
L’ulcère perforé se manifeste par une douleur brutale, épigastrique, très intense, en coup de poignard, diffusant progressivement au reste de l’abdomen. Le malade est apyrétique avec des signes associés évocateurs tels que pâleur, vomissements. La défense épigastrique voire la contracture abdominale complètent le tableau, mais des formes atypiques sont possibles (ulcère duodénal perforé, bouché).
Le cliché d’ASP centré sur les coupoles peut montrer le pneumo­péritoine s’il est volumineux, mais le scanner est l’examen le plus utile en cas de doute diagnostique. C’est une urgence chirurgicale, par la réalisation de la suture de l’ulcère le plus souvent par voie cœlioscopique, complétée par un traitement antisécrétoire gastrique.
En cas d’hémorragie ulcéreuse, manifestée par une hématémèse avec ou sans méléna, la gastroscopie précise la lésion et permet le cas échéant un geste d’hémostase. Le traitement endoscopique et les inhibiteurs de la pompe à protons (IPP), à forte dose dans les premières 48 heures, ont fortement diminué le recours chirurgical.
La cicatrisation de l’ulcère gastrique sera contrôlée par une endoscopie digestive haute afin de vérifier la cicatrisation et de ne pas méconnaître un cancer gastrique (biopsies de la cicatrice ulcéreuse). Le contrôle endoscopique est également systématique en cas d’ulcère duodénal compliqué.
Dans tous les cas, la prise en charge à long terme repose sur la recherche d’Helicobacter pylori sur les biopsies gastriques, pratiquées lors de la gastroscopie initiale ou lors du contrôle endoscopique, et en s’appuyant au besoin sur la sérologie spécifique pour augmenter la sensibilité diagnostique.[3] Le traitement d’éradication repose sur des schémas thérapeutiques régulièrement adaptés, en combinant actuellement un IPP et des antibiotiques associés ou non à du bismuth, au mieux après détermination de la sensibilité aux antibiotiques de la souche infectante.[3]

Reflux gastro-œsophagien (RGO)

Moins douloureux que l’ulcère gastroduodénal, le reflux gastro-­œsophagien peut néanmoins causer brûlures épigastriques, douleurs thoraciques, et signes extradigestifs. Il touche 20 à 40 % des adultes.[4] Aucun examen n’est nécessaire si la présentation est typique, sans signe de complication (dysphagie, hémorragie digestive...).

Appendicite aiguë

C’est une urgence chirurgicale. Le tableau typique associe une douleur aiguë évoluant depuis moins de 24 heures, débutant classiquement dans la région épigastrique ou péri-ombilicale, secondairement localisée en fosse iliaque droite. Il s’y associe des nausées voire des vomissements, une fièvre typiquement entre 37,6 °C et 38,5 °C. La palpation révèle une défense de la fosse iliaque droite et une douleur à la décompression. Le toucher rectal peut déclencher une douleur à la palpation du cul-de-sac de Douglas notamment dans l’appendicite pelvienne ou en cas de péritonite. La biologie objective classiquement une poly­nucléose à l’hémogramme. Les diagnostics différentiels sont nombreux, la clinique souvent incomplète. En cas de doute, l’échographie ou le scanner abdomino-pelvien avec injection de produit de contraste iodé confirme ou redresse le diagnostic. L’IRM doit être privilégiée en cas de doute échographique chez la femme enceinte.
Devant une douleur abdominale évocatrice d’une appendicite, l’absence concomitante d’une défense en fosse iliaque droite, d’une leucocytose supérieure à 10 G/L et d’une CRP supérieure à 8 mg/L rend le diagnostic d’appendicite aiguë peu probable mais n’exclut pas formellement le diagnostic.[5]
Le traitement consiste en une appendicectomie par voie cœlioscopique le plus souvent, parfois par un abord de Mac Burney. Se discute actuellement, en cas d’appendicite débutante, l’intérêt d’une antibiothérapie avec surveillance clinique étroite pouvant permettre de surseoir au geste chirurgical mais avec un risque non négligeable de récidives.[6]

Sigmoïdite diverticulaire aiguë

Elle résulte de l’inflammation d’un ou plusieurs diverticules, pouvant se compliquer d’un abcès péri-sigmoïdien voire d’une péritonite. Des accès douloureux identiques ou des diverticules connus sont évocateurs. La douleur et la défense siègent le plus souvent dans la fosse iliaque gauche, mais parfois dans la fosse iliaque droite en cas de grande boucle sigmoïdienne. Une constipation ou une fausse diarrhée a pu précéder la crise qui peut s’accompagner de rectorragies ou méléna. Des symptômes urinaires peuvent être trompeurs. Un syndrome infectieux clinique et biologique (polynucléose neutrophile) complète le tableau.
La conduite à tenir a fait l’objet de recommandations récentes de la Haute Autorité de santé (HAS).[7] L’absence de syndrome inflammatoire biologique, CRP < 5 mg/L et globules blancs (GB) < 10 G/L, n’exclut pas une diverticulite, mais doit faire rechercher d’autres diagnostics. Les signes cliniques et biologiques de diverticulite n’ont pas une sensibilité et une spécificité suffisantes pour permettre une prise en charge adéquate. Le diagnostic repose principalement sur le scanner, l’échographie abdominale n’étant pas recommandée comme premier examen d’imagerie, d’autant plus lorsqu’il s’agit de patients obèses. L’hospitalisation n’est pas nécessaire en cas de diverticulite non compliquée confirmée au scanner par un score Hinchey Ia, et en l’absence de signes de gravité, d’immunodépression, de score ASA > 3 ou de grossesse. Une surveillance clinique est recommandée durant le traitement symptomatique ambulatoire (antispasmodiques, antalgiques…) sans antibiothérapie.
Si une antibiothérapie est indiquée, la voie orale est recommandée en première intention pour le traitement de la diverticulite non compliquée : amoxicilline-acide clavulanique (en cas d’allergie, association de lévofloxacine et de métronidazole). Une alimentation non restrictive est recommandée au cours du traitement de la diverticulite non perforée, si elle est tolérée. En cas de diverticulite compliquée, le patient est hospitalisé. Une antibiothérapie est recommandée associant amoxicilline-acide clavulanique et gentamicine, ou céfotaxime et métronidazole, ou ceftriaxone et métronidazole (en cas d’allergie, association de lévofloxacine, gentamicine et métronidazole). Un abcès de plus de 3 cm visible au scanner doit faire discuter une indication de drainage radiologique en première intention. L’intervention chirur­gicale s’impose en cas de péritonite (Hinchey III et IV) ou d’échec du traitement médical (Hinchey I et II).

Colite aiguë grave

Une colite aiguë se manifeste essentiellement par une diarrhée et des douleurs abdominales violentes. Il s’agit d’une urgence médico-chirurgicale, d’origine infectieuse ou inflammatoire (MICI) le plus souvent.
Le diagnostic de colite aiguë grave repose sur les critères clinico-­biologiques de Truelove et Witts, tandis qu’un score de Lichtiger supérieur à 10 définit une forme sévère. Des coprocultures pour la recherche de Clostridium difficile (recherche de toxine en urgence), d’Escherichia coli O157H7 et de Klebsiella oxytoca sont à réaliser dès que possible. Un scanner abdomino-pelvien est indiqué s’il y a suspicion de complication (abcès, perforation, colectasie). En cas d’indisponibilité, l’échographie abdominale avec ou sans injection de produit de contraste a un bon rendement diagnostique dans des mains entraînées.[8]

Infections intestinales

Gastroentérite aiguë

C’est une cause très fréquente et saisonnière de douleurs abdominales diffuses parfois vives, habituellement d’étiologie virale et d’évolution spontanément favorable. Une fièvre supérieure à 38,5 °C et/ou des rectorragies orientent vers une origine bactérienne et le recours à une antibiothérapie. Les formes compliquées peuvent nécessiter une hospitalisation en raison de la déshydratation liée aux vomissements et à la diarrhée, et d’un syndrome infectieux sévère. En cas de gravité ou de doute diagnostique est réalisé un examen bactériologique et parasitologique des selles.

Iléite aiguë infectieuse ou sur maladie inflammatoire chronique de l’intestin

La douleur de la fosse iliaque droite, associée à de la fièvre et à un syndrome inflammatoire biologique peut évoquer à tort une appendicite aiguë. Il n’y a pas habituellement de défense et parfois une anse inflammatoire est palpable. En cas de doute, le scanner redresse le diagnostic et peut révéler d’autres localisations de maladie de Crohn. Les iléites sans récidive sont fréquemment d’origine infectieuse (yersiniose…). Un traitement antibiotique (fluoroquinolone) est souvent prescrit pendant 10 jours.

Adénolymphite mésentérique

La douleur de la fosse iliaque droite associée à une fébricule et à un syndrome inflammatoire biologique peut faire évoquer une appendicite. Le diagnostic chez l’adulte jeune repose sur l’échographie voire le scanner en montrant des adénopathies multiples et volumineuses du mésentère de la dernière anse iléale. Elle est souvent secondaire à une infection virale ORL, qu’il faut rechercher à l’interrogatoire dans les 2 à 3 semaines précédant l’épisode. Son traitement est essentiellement antalgique avec une bonne efficacité des anti-inflammatoires.

Occlusions intestinales aiguës

L’arrêt du transit est lié à une occlusion mécanique ou fonction­nelle (iléus paralytique d’origine métabolique, pseudo-obstruction colique du syndrome d’O’Gilvie…). Le diagnostic repose sur la triade douleur abdominale, vomissements, arrêt des matières et des gaz. On insiste sur la palpation des orifices herniaires qui doit être systématique (hernie étranglée) de même que le toucher rectal (fécalome, cancer).
Le scanner, mieux que l’ASP qui n’est pas indispensable et ne visualise que les niveaux hydroaériques, permet d’orienter le diagnostic étiologique d’occlusion du côlon ou du grêle, tout en appréciant le degré d’ischémie et de souffrance pariétale. L’expression clinique et radiologique est fonction du siège, de la cause et du mécanisme de l’occlusion :
  • bride : douleur rapidement progressive et vomissements abon­dants (avec retard possible de l’arrêt du transit), antécédent de chirurgie abdominale et occlusion du grêle au scanner faisant suspecter l’existence d’une bride ;
  • volvulus du grêle : douleur brutale et fixe avec défense en regard du segment volvulé, distension du grêle d’amont au scanner objectivant le volvulus. Il s’agit d’une urgence chirurgicale majeure ;
  • hernie étranglée (diagnostic clinique) : douleur au niveau de la hernie qui est non impulsive à la toux et irréductible (les hernies crurales étranglées peuvent être peu douloureuses chez la femme âgée) ;
  • lésions inflammatoires (palpation d’anses grêles pathologiques) ;
  • colectasie liée à une infection ou compliquant une maladie inflammatoire chronique de l’intestin, particulièrement une rectocolite hémorragique ;
  • tumeur colique surtout gauche ou sigmoïdienne : douleur progressive, arrêt précoce des matières et des gaz ou alternance de diarrhée et constipation et parfois rectorragies, vomissements peu à peu fécaloïdes (si la valvule iléo-cæcale est non continente), altération de l’état général ;
  • fécalome : impaction rectale confirmée par le toucher rectal ;
  • obstacle par corps étranger (occlusion du grêle avec signes auscultatoires de lutte de l’intestin d’amont, fragments métalliques à l’ASP, blister, bézoards) ;
  • iléus biliaire par migration d’un calcul vésiculaire obstruant l’iléon terminal (signes d’occlusion avec parfois calcul calcifié et aérobilie signant la fistule cholécysto-duodénale).
Dans l’occlusion intestinale aiguë, la sonde nasogastrique doit être positionnée en début de prise en charge et surtout avant le bilan scanographique compte tenu des risques d’inhalation lorsque le patient est en position couchée. L’hospitalisation en chirurgie est nécessaire, où seront réalisés conjointement la surveillance et le traitement. Le traitement est d’abord médical : aspiration gastrique en urgence qui soulage la douleur liée à la distension et nécessite la compensation des pertes hydroélectro­lytiques par perfusions, antalgiques en complément si besoin et, éventuellement antibiothérapie. On opère en urgence les occlusions par strangulation (bride, volvulus, invagination), en fonction de la souffrance pariétale, qui peut conduire à la perforation par nécrose ischémique. Les occlusions par obstruction se compliquent d’hypovolémie secondaire à la présence d’un troisième secteur. La levée de l’obstacle est réalisée par voie chirurgicale ou endoscopique (décompression de volvulus sigmoïdien, prothèse colique transtumorale, exsufflation d’une pseudo-­obstruction colique).

Troubles fonctionnels digestifs (TFD)

C’est une des causes les plus fréquentes. Le contexte est souvent évocateur : dyspepsie chronique (douleur ou gêne épigastrique, satiété précoce, plénitude postprandiale) et/ou syndrome de l’intestin irritable (sexe féminin, contexte anxiodépressif, antécédents de crises douloureuses similaires, soulagement par la défécation, modification de la fréquence ou de la consistance des selles). Le diagnostic est conforté par l’état général conservé, des explorations digestives précédemment négatives, l’absence de signes cliniques alarmants, malgré l’intensité parfois forte de la douleur, souvent exacerbée par la palpation abdominale. La normalité des explorations complémentaires éventuelles oriente vers les troubles fonctionnels digestifs, dont la prise en charge reste difficile au long cours, en raison de récidives fréquentes et de l’absence de traitement radical.[9]

Pathologies hépatobiliaires

Colique hépatique

La douleur de l’hypochondre droit est brutale, intense, avec des paroxysmes, irradiant en arrière et vers l’épaule droite, augmentant à l’inspiration profonde. Elle se déclenche fréquemment dans les 2 à 3 heures après un repas particulièrement riche en graisse. Les nausées et vomissements sont fréquents, mais sans signes infectieux locaux ou généraux persistants. Les antalgiques et antispasmodiques sont rapidement efficaces. La récidive est fréquente conduisant à proposer une cholécystectomie en cas de la lithiase vésiculaire authentifiée à l’échographie (30 % des lithiases vésiculaires ne sont pas visibles au scanner).

Cholécystite aiguë

La lithiase vésiculaire est souvent en cause, suivie des cancers des voies biliaires et des cholécystites alithiasiques (maladies inflammatoires systémiques…). Une colique hépatique peut la précéder. La douleur est persistante avec fièvre, défense de l’hypo­chondre droit et inhibition de l’inspiration à la palpation (signe de Murphy). Le syndrome infectieux biologique est constant, alors que le bilan hépatique sanguin (phosphatases alcalines, bilirubine) est rarement ou peu perturbé.
L’échographie est essentielle, montrant un épaississement de la paroi vésiculaire à plus de 6 mm et la présence de calcul(s) ou « sludge » (fig. 1), sans dilatation de la voie biliaire principale (VBP). La complication principale est la péritonite et le choc septique souvent sur une gangrène de la paroi vésiculaire qui peut conduire de manière exceptionnelle vers le cholépéritoine.
L’hospitalisation est requise chez le sujet âgé et dans les formes sévères avec syndrome inflammatoire, surveillance chirurgicale, à jeun, avec glace sur le ventre et perfusions d’antalgiques et d’antibiotiques (céphalosporine de troisième génération et imidazolé). L’évolution est favorable en quelques jours. En cas de lithiase, la cholé­cystectomie par voie cœlioscopique est réalisée soit en urgence, soit secondairement associée à une cholangiographie peropératoire.

Angiocholite

L’angiocholite est secondaire à l’infection de la voie biliaire principale, due à l’enclavement d’un calcul vésiculaire dans le conduit cholédoque. La triade chronologique est caractéristique : douleur, fièvre et ictère rétentionnel. Il existe un syndrome biologique infectieux et une cholestase (augmentation des phosphatases alcalines, 5’-nucléotidase, gamma-GT et bilirubine conjuguée). Le risque de choc septique impose l’hospitalisation en urgence, l’antibiothérapie intraveineuse (idem cholécystite aiguë), la surveillance stricte des paramètres cliniques et biologiques et l’extraction des calculs par sphinctérotomie perendo­scopique. La cholécystectomie est réalisée secondairement chez les patients opérables, afin de prévenir les risques de récidive par migration lithiasique et de cholécystite aiguë lithiasique.

Hépatopathies

Les hépatites aiguës virales ou les parasitoses hépatiques (distomatose, kyste hydatique…) peuvent provoquer des hépatalgies transitoires, dont le diagnostic repose sur le contexte clinique et la mise en évidence des anomalies biologiques caractéristiques après élimination des autres causes par l’échographie notamment.
Les tumeurs hépatiques, notamment les métastases, sont parfois révélées par des hépatalgies ou des douleurs de l’hypochondre droit (hépatomégalie tumorale). L’échographie ou le scanner sont démonstratifs et la ponction guidée précise l’anatomopathologie.
Les hépatalgies du foie cardiaque aigu sont facilement rattachées à leur cause devant l’existence de signes d’insuffisance cardiaque droite ou globale. La constitution rapide d’une ascite, quelle qu’en soit la cause (cirrhose, infections, néoplasies…), peut provoquer des douleurs abdominales diffuses ou localisées aux flancs. En cas de doute, l’échographie ou le scanner redresse le diagnostic et la ponction permet l’analyse du liquide d’ascite.

Hémobilie

Elle est définie par un saignement dans les voies biliaires quelle qu’en soit l’origine. C’est une pathologie rare et souvent mal connue, mais potentiellement mortelle. Sa présentation clinique classique associe hémorragie digestive haute (révélée par un méléna), douleur de type biliaire et ictère.

Cancer des voies biliaires

Il est rare (3 % des cancers digestifs). L’IRM est l’examen de choix en première intention pour le bilan lésionnel.[10]

Pathologies pancréatiques

Pancréatites aiguës

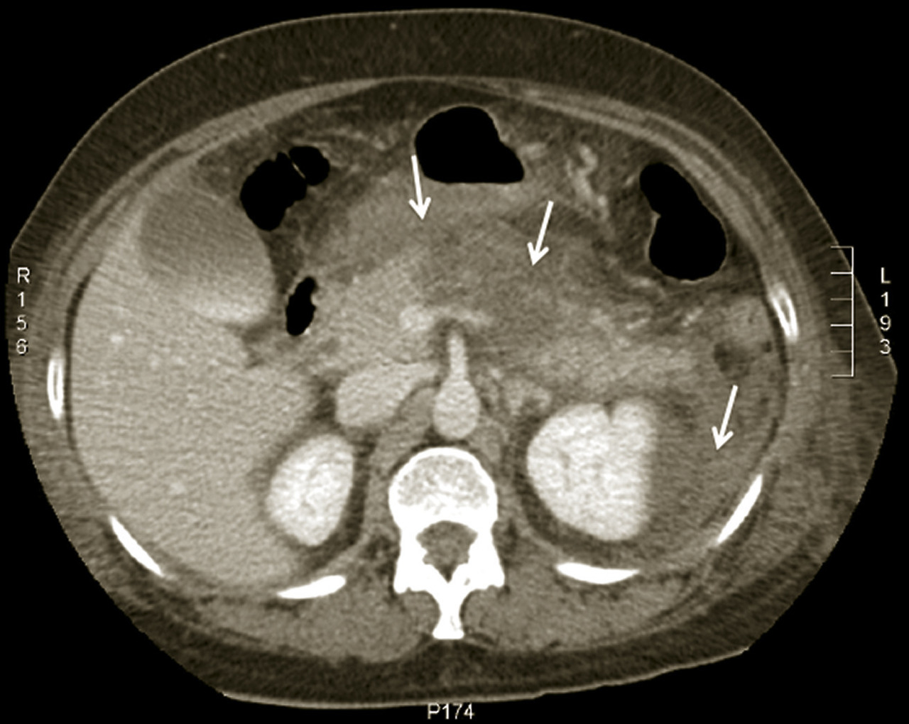
Le diagnostic est évoqué devant une violente douleur épigastrique transfixiante, soulagée partiellement par la flexion du tronc (position en « chien de fusil »), une élévation franche de la lipasémie (supérieure à trois fois la valeur normale) et l’imagerie caractéristique au scanner. Deux causes dominent : la migration d’une lithiase biliaire et l’alcoolisation. L’examen clinique est pauvre contrastant avec l’intensité de la douleur et la gravité des signes généraux (marbrures, polypnée, pouls filant, hypotension artérielle). Un premier score de Ranson (clinico-biologique) supérieur à 3 affirme la sévérité de l’épisode. Le scanner (fig. 4), idéalement réalisé après 48 heures, permettra le calcul du score de Balthazar, fortement prédictif d’une complication grave (sur­infection des coulées de nécrose ou décès), en cas de valeur ≥ 4.
Le traitement est le plus souvent médical : antalgiques, jeûne et nutrition parentérale, surveillance hospitalière en raison du risque d’évolution gravissime pouvant justifier une prise en charge en réanimation et/ou une chirurgie. Une sphinctérotomie perendo­scopique est réalisée en urgence en cas de lithiase obstructive de la voie biliaire principale, tandis que certaines complications relèvent de la chirurgie (nécrosectomie, résection digestive…).

Tumeurs pancréatiques

L’adénocarcinome pancréatique (fig. 6) peut se révéler par des épigastralgies à irradiation postérieure intenses et persistantes, liées à l’envahissement des plexus nerveux de voisinage. Les kystes pancréatiques bénins ou à potentiel malin peuvent se compliquer de douleurs, de même que les tumeurs intracanalaires papillaires et mucineuses.

Pathologie splénique

La rupture spontanée de la rate est une complication classique mais rare de la mononucléose infectieuse. La cause la plus fréquente est un traumatisme basithoracique avec possible rupture secondaire quelques jours après le traumatisme. Outre une douleur de l’hypochondre gauche et épigastrique, le signe de Kehr peut être révélateur (douleur de l’épaule gauche) même si parfois il peut être trompeur. Des signes de choc hypovolémique sont à rechercher.

Affections vasculaires

Ischémie intestinale aiguë

On distingue l’ischémie artérielle mésentérique de la thrombose veineuse mésentérique dont les traitements sont différents.

Ischémie artérielle

On distingue deux phases successives :
  • le syndrome d’ischémie aiguë mésentérique (SIAM) qui doit être évoqué chez tout patient à risque élevé de pathologie artérielle thrombotique ou emboligène (artériopathie oblitérante des membres inférieurs, cardiopathie emboligène…), présentant une violente douleur abdominale en discordance avec la pauvreté de l’examen clinique. La douleur est souvent péri-ombilicale, avec vomissements, parfois émission de selles en rapport avec des mécanismes réflexes responsables d’un hyperpéristaltisme. Si le diagnostic est retardé, l’évolution se fait rapidement vers l’infarctus mésentérique ;
  • l’infarctus mésentérique : en plus de la douleur, on retrouve un ventre péritonéal avec souvent une défense abdominale, un abdomen météorisé ou non, et un silence auscultatoire. Le patient est prostré. L’état de choc est quasi constant. Sur le plan biologique, on observe une acidose métabolique avec élévation des lactates. Les examens d’imagerie standard tels que l’ASP sont inutiles car ils ne permettent pas de confirmer le diagnostic en dehors d’une très exceptionnelle pneumatose intestinale ou aéroportie (présence de gaz dans la veine porte) qui sont des signes ultimes d’ischémie.
L’artériographie cœlio-mésentérique peut trouver sa place éventuellement au stade de SIAM en vue d’une thrombolyse endovasculaire qui doit être réalisée dans un délai de 8 heures suivant le début du syndrome clinique. Le scanner abdominal avec injection de produit de contraste iodé permet rapidement de confirmer le diagnostic, de déterminer la gravité et l’étendue des lésions. L’intervention chirurgicale consistera en une résection des zones nécrosées ou en un geste de revascularisation si le patient est opéré au stade SIAM, ce qui est rarement le cas.

Thrombose veineuse mésentérique

L’interrogatoire recherche des antécédents de thrombose veineuse profonde personnels ou familiaux, d’embolie pulmonaire, de thrombophilie constitutionnelle (déficit congénital en inhibiteurs physiologiques de la coagulation) ou acquise, de syndrome myéloprolifératif, d’hypertension portale, d’accouchement récent, de prise de contraceptifs oraux, de présence de foyer infectieux intra-abdominal. La douleur est péri-ombilicale, importante, en discordance avec la pauvreté clinique. On peut retrouver de la fièvre, une diarrhée, des vomissements, parfois un méléna. Les signes biologiques sont aspécifiques. Le scanner abdominal avec injection de produit de contraste iodé confirme le diagnostic et permet de déterminer l’importance et la gravité des lésions. Cet examen est également utile à la surveillance pour rechercher des signes de gravité, notamment un amincissement de la paroi intestinale ou un pneumopéritoine. Le traitement est médical (anticoagulants). La chirurgie peut s’imposer en cas de complications (amincissement pariétal, perforation).

Colite ischémique

Elle touche essentiellement les sujets âgés avec atteinte polyartérielle. Le tableau comprend des douleurs abdominales, une diarrhée, voire des rectorragies. Le diagnostic est confirmé par le scanner et par la coloscopie qui montre des lésions érythémateuses et œdémateuses puis ulcératives, à limites nettes, prédominant sur le sigmoïde et le côlon gauche. L’évolution est souvent favorable en 2 à 3 semaines sous traitement médical et repos digestif. Les complications sont la forme gangréneuse initiale avec risque élevé de perforation et les sténoses cicatricielles.

Anévrisme aortique fissuré

C’est une urgence chirurgicale à évoquer devant une douleur extrêmement brutale et intense parfois accompagnée de collapsus souvent fatal. Des fistules digestives sont possibles, notamment aorto-duodénales avec hémorragie digestive cataclysmique. L’examen peut reconnaître l’anévrisme, confirmé par l’échographie ou mieux le scanner qui précise l’étendue des lésions. Les attitudes thérapeutiques varient en fonction des lésions et de l’état général.

Hématome du psoas

Apanage du sujet âgé et complication des traitements anticoagulants, il peut survenir de façon spontanée (surdosage) ou après une chute. Il entraîne une douleur lombaire aiguë à irradiation basse et parfois abdominale antérieure. Le psoïtis est révélateur. L’échographie et le scanner confirment le diagnostic. L’attitude est habituellement attentiste sous surveillance chirurgicale stricte en service de réanimation : transfusions sanguines, antalgiques et correction adaptée des troubles de la coagulation (surdosage en antivitamine K, traitement par héparines de bas poids moléculaire ou par inhibiteurs de la thrombine, thrombopénie à l’héparine).

Vascularites systémiques et connectivites

Les vascularites atteignent rarement les vaisseaux digestifs ou rénaux. Sont particulièrement impliqués : la périartérite noueuse (PAN), les vascularites à anticorps anticytoplasme des polynucléaires neutrophiles (ANCA, pour anti-neutrophil cytoplasmic autoantibody) [polyangéite microscopique et maladie de Wegener], le syndrome de Behçet, le purpura rhumatoïde.
Les manifestations générales et les atteintes extradigestives orientent le diag­nostic de même que l’imagerie (micro-anévrismes de la PAN…), la biologie notamment les ANCA et l’anatomie pathologique, en s’appuyant sur les critères diagnostiques de chaque affection.
Les connectivites peuvent s’accompagner de manifestations douloureuses abdominales ou lombaires, de mécanismes variés (inflammation, lésions vasculaires, adénopathies…), en particulier le lupus érythémateux aigu disséminé (vascularite digestive…) avec ou sans syndrome des antiphospholipides et la sclérodermie (pseudo-occlusion intestinale, pullulation microbienne…).

Pathologies urologiques

Cystite aiguë simple

De diagnostic clinique, la cystite algique peut être trompeuse en simulant d’autres douleurs abdominales. Une bandelette urinaire (BU) systématique permettra d’éviter d’autres explorations inutiles. L’examen cytobactériologique des urines (ECBU) n’est pas indiqué en l’absence de signe de pyélonéphrite et chez une patiente non à risque.

Rétention aiguë d’urines

De cause variée, elle associe impossibilité d’uriner et intense algie pelvienne. Toute douleur abdomino-pelvienne, surtout chez le sujet âgé, doit faire rechercher un globe vésical, parfois associé à d’autres affections aiguës. La présentation clinique peut être trompeuse chez le sujet âgé avec un syndrome douloureux modéré et/ou inexistant et la présence de miction par regorgement.
Le diagnostic doit également être évoqué devant un syndrome confusionnel aigu chez la personne âgée, chez un patient diabétique ou traumatisé rachidien, ou encore en postopératoire (rachianesthésie). Aucun examen n’est nécessaire avant sondage, excepté une échographie si un doute diagnostique persiste.

Infection urinaire masculine

Elle associe typiquement fièvre, douleurs pelviennes, signes fonctionnels urinaires et dysurie. On réalisera une bandelette urinaire (résultat instantané), un ECBU, et une échographie en cas de lombalgie ou suspicion de rétention aiguë d’urine. Le toucher rectal est théoriquement contre-indiqué, compte tenu du risque septique. Une antibiothérapie bien conduite est nécessaire afin d’éviter un passage à la chronicité.

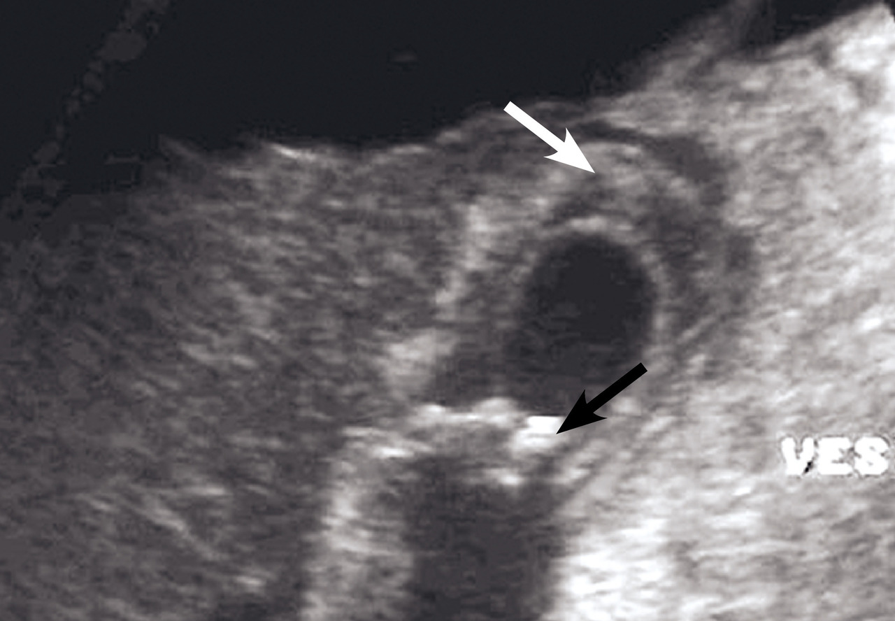
Colique néphrétique

La douleur est lombaire, unilatérale, brutale, intense, anxiogène et invalidante, sans position antalgique, à irradiation descendante. Elle résulte de la mise en pression brusque des cavités excrétrices du rein par un obstacle sous-jacent, habituellement un calcul urétéral. Les antécédents similaires sont évocateurs.
L’échographie peut montrer une discrète asymétrie des cavités excrétrices rénales, voire l’obstacle lithiasique avec dilatation d’amont (fig. 2 et 3). L’uroscanner complète le bilan et localise si besoin le calcul. Outre le traitement de la cause (calcul, compression extrinsèque…), le traitement antalgique est primordial : anti-inflammatoires non stéroïdiens (AINS), paracétamol, anti­spasmodiques voire dérivés morphiniques. On procédera à la pose d’une sonde urétérale en cas d’anurie (rein unique), de fièvre sur rétention du haut appareil ou de crise hyperalgique.

Pyélonéphrite aiguë

Elle est évoquée devant une douleur lombaire, le plus souvent unilatérale, associée à une fièvre supérieure à 38 °C avec frissons. Les signes urinaires sont inconstants : pollakiurie, brûlures mictionnelles... Dans les formes non compliquées, les hémocultures et la biologie ne sont pas indiquées. De même, chez l’adulte, l’échographie ne sera réalisée qu’en cas de pyélonéphrite hyperalgique ou d’évolution défavorable passé 72 heures d’antibiothérapie. Elle permet d’éliminer une dilatation des voies excrétrices supérieures dont la présence nécessite une dérivation des urines par sonde urétérale ou néphrostomie. En cas de doute, le scanner avec injection est utile. L’antibiothérapie (fluoroquinolone per os), secondairement adaptée à l’antibiogramme, est ambulatoire pendant 2 semaines. L’hospitalisation initiale avec bi-antibiothérapie adaptée (aminoside en plus) est justifiée en cas de facteurs de risque ou de complications : âge élevé, grossesse, immunodépression, contexte médicosocial défavorable, antibiothérapie préalable, malformation urinaire, choc septique, insuffisance rénale.[11]

Pathologies gynécologiques

Grossesse extra-utérine (GEU)

La grossesse extra-utérine est évoquée devant une algie pelvienne unilatérale chez la femme en âge de procréer.
Des douleurs répétitives dans un contexte évocateur (pas de contraception, désir de grossesse, antécédent de pathologie tubaire) font rechercher une masse latéro-utérine au toucher vaginal (témoin d’un hématosalpinx), doser les ß-hCG et faire une échographie pelvienne et endovaginale, permettant le diagnostic précoce.
En cas de grossesse extra-utérine non compliquée, on envisage un traitement par méthotrexate pour une grossesse extra-utérine peu évoluée et une cœlioscopie pour salpingotomie avec extraction de l'œeuf ou salpingectomie en fonction de la viabilité tubaire.
La grossesse extra-utérine rompue est en revanche une urgence chirurgicale avec une douleur associée à un choc hémorragique.

Torsion du kyste ovarien

La douleur pelvienne est brutale, intense, voire syncopale, unilatérale, irradiant vers les lombes. Le toucher vaginal révèle une masse latéro-utérine, douloureuse. La négativité des ß-hCG et la visualisation du kyste ovarien à l’échographie élimine la grossesse extra-utérine et confirme le diagnostic. La torsion aiguë est une urgence chirurgicale.

Salpingite aiguë

Les formes cliniques sont bruyantes ou fréquemment insidieuses. Les séquelles tubaires sont sources de stérilité et de grossesse extra-utérine.
Sont évocateurs chez une femme en âge de procréer : les antécédents de maladies sexuellement transmissibles, de salpingite, de gestes endo-utérins récents. La douleur pelvienne est diffuse, associée à des leucorrhées et à un état fébrile. L’échographie pelvienne et endovaginale est l’examen de référence. La cœlioscopie permet de réaliser les prélèvements bactériologiques et la prise en charge thérapeutique. L’antibiothérapie associe amoxicilline-acide clavulanique (15 jours) et minocycline (infection à Chlamydia ?) pendant 21 jours. On n’omettra pas les mesures préventives, le retrait d’un stérilet pour mise en culture s’il est présent, l’introduction d’une contraception et le traitement des partenaires.

Endométriose

L’endométriose gynécologique ou digestive peut se révéler par des douleurs, volontiers cycliques, mais parfois trompeuses. Elle est encore sous-diagnostiquée, et doit être évoquée devant des symptômes associés tels que : dysménorrhées intenses, dyspareunies profondes, douleurs à la défécation et signes fonctionnels urinaires à recrudescence cataméniale, infertilité.
L’échographie et l’IRM pelviennes peuvent mettre en évidence des endométriomes.[12]

Périhépatite infectieuse

Le syndrome de Fitz-Hugh-Curtis est une cause rare de douleur de l’hypochondre droit chez la femme jeune. Il se caractérise par une péri-hépatite secondaire à une infection génitale haute le plus souvent à Chlamydia.
Le scanner avec injection est aujourd’hui l’examen de choix dans le diagnostic de l’affection en montrant des signes très évocateurs.

Pathologies de la femme enceinte

On citera : accouchement imminent, rupture utérine, hématome rétroplacentaire, placenta prævia hémorragique, pré-­éclampsie, éclampsie, grossesse extra-utérine.
Toute douleur abdominale ou lombaire aiguë chez la femme enceinte doit impliquer un monitorage fœtal, un examen physique maternel ainsi qu’une échographie en urgence.[13]

Traumatismes abdominaux et lombaires

On distingue les traumatismes ouverts (plaie de l’abdomen), des traumatismes fermés (contusion de l’abdomen). Dans tous les cas il faut garder à l’esprit la possibilité de traumatismes associés des régions anatomiques voisines (thorax, rétropéritoine, pelvis).

Plaie de l’abdomen

Le but de la prise en charge de ces blessés est de ne pas méconnaître une plaie d’organe intra-abdominal (plaie perforante) aux conséquences graves (hémorragie, péritonite). En fonction du type de plaie (arme à feu, arme blanche ou assimilée), de la localisation de la plaie (paroi abdominale antérieure, postérieure, ou transfixiante...), et de l’état clinique du blessé, les attitudes de prise en charge varient de la surveillance clinique, biologique et radiologique (scanner) à la laparotomie en urgence.

Contusion de l’abdomen

C’est l’état hémodynamique du blessé qui détermine sa prise en charge. En cas d’instabilité hémodynamique, après examen clinique, HemoCue voire une FAST écho à la recherche d’un épanchement intra-abdominal, la laparotomie s’impose sans délai. À l’inverse, si le blessé est stable sur le plan hémodynamique, il convient de rechercher des lésions viscérales par un scanner, le plus souvent thoraco-abdomino-pelvien avec injection de produit de contraste iodé pour éliminer des lésions d’organe plein (foie, rate) dont le traitement peut être chirurgical ou non, des lésions d’organe creux à l’origine de péritonite et d’hémopéritoine dont le traitement est toujours chirurgical, des lésions musculo-aponévrotiques à l’origine de hernie post-traumatique dont le traitement chirurgical peut être différé. En cas de lésion d’organe plein non opératoire, une surveillance clinico-­biologique en milieu chirurgical ou en réanimation s’impose.

Pathologies rhumatologiques

Pathologies interapophysaires

Le dérangement intervertébral mineur, de nature bénigne et de diagnostic clinique, ne nécessite aucun examen complémentaire en cas de forme typique, présentant un syndrome ténocellulo­myalgique dont une cellulalgie unilatérale reproduite à la manœuvre dite du palper-rouler au niveau des hypochondres ou des flancs selon la localisation de la souffrance vertébrale. L’évolution est spontanément favorable ou après traitement ostéopathique.
La lyse isthmique, en cas de signes récents à l’imagerie, peut nécessiter un avis chirurgical pour éviter la constitution d’un spondylolisthésis et d’une douleur chronique.
Le lumbago se manifeste par une douleur vive, impulsive, majorée par les efforts, de survenue brutale après un mouvement favorisant. On constate une attitude antalgique et une raideur lombaire, sans trouble sensitivomoteur. Le lumbago peut causer des lombo-fessalgies aiguës, mais jamais de cruralgie ni de sciatalgie, et ne nécessite pas d’imagerie médicale précoce. Le traitement médical associe repos, antalgiques et AINS.

Lésions du corps vertébral

Tumeurs : néoplasies, métastases, myélome, ostéome ostéoïde, histiocytose…
Tassement vertébral ostéoporotique et traumatique : l’origine ostéoporotique est évoquée chez la femme âgée devant une douleur lombaire brutale, spontanée ou après une chute, avec souffrance élective à l’examen de la colonne lombaire. Les radiographies objectivent le tassement cunéiforme du corps vertébral, traité par le repos en décubitus dorsal avec kinésithérapie adaptée, les antalgiques et le traitement de l’ostéoporose. Une vertébroplastie peut être discutée.

Pathologie discale

La hernie discale est la principale cause de cruralgie ou de scia­talgie, et peut se révéler également par un syndrome de la queue de cheval ou une compression médullaire selon l’étage concerné. En cas de déficit neurologique, un scanner rachidien en urgence peut orienter l’indication chirurgicale, mais l’IRM est l’examen de choix.
La spondylodiscite se manifeste par une douleur souvent brutale, dans un contexte favorisant : diabète, immunodépression… La douleur élective vertébrale et la raideur localisée, habituelles, sont associées à la fièvre (inconstante) et au syndrome infectieux biologique. Les radiographies peuvent être normales au début. La scintigraphie osseuse montre une hyperfixation. L’IRM est l’examen de choix (hyposignal en T1 avec rehaussement par le gadolinium). L’antibiothérapie est adaptée au micro-­organisme isolé par la ponction-biopsie discovertébrale.

Pathologies neurologiques

Peuvent être en cause et sont évoquées sur les données cliniques :
  • les souffrances radiculaires avec irradiation douloureuse en hémi-ceinture (lésions rachidiennes, zona avec éruption évocatrice…) ;
  • les affections rares : épilepsie, migraine abdominale et tabès (syphilis tertiaire).

Pathologies extradigestives (tableau 2)

Les pathologies pulmonaires, tels que le pneumothorax, l’embolie pulmonaire, et les pneumopathies basales ou les pleurésies, peuvent simuler une douleur abdominale par irritation diaphragmatique ou congestion hépatique.
L’infarctus du myocarde inférieur est à rechercher systématiquement en cas de facteurs de risque cardiovasculaire.
La péricardite peut donner des douleurs abdominales, particulièrement en cas de péricardite constrictive.
Le glaucome aigu peut se révéler par une douleur abdominale au premier plan.
Les angines à streptocoques donnent plus rarement des douleurs abdominales chez l’adulte.

Pathologies générales (tableau 2)

Causes métaboliques

Ce sont des causes possibles de douleurs abdominales aiguës, avec parfois un tableau pseudo-chirurgical, et dans certains cas la mise en jeu du pronostic vital. Elles ne doivent pas être méconnues devant certains signes évocateurs associés aux douleurs abdominales.
L’hypercalcémie associe asthénie, anorexie, irritabilité, trouble de la conscience, hypertension artérielle, nausées, vomissements, diminution du QT à l’électrocardiogramme (ECG) et calcémie élevée.
L’hypokaliémie est évoquée devant un ralentissement du transit, un iléus, des paralysies flasques, une polyurie, un aplatissement puis une négativation de l'onde T et de l'onde U à l’ECG, la kaliémie effondrée, une alcalose métabolique.

Endocrinopathies

L’acidocétose diabétique est parfois révélatrice du diabète de type 1 chez le sujet jeune présentant nausées, vomissements, amaigrissement, amyotrophie, asthénie, polyurie-polydipsie, troubles visuels, hyperglycémie, acidose métabolique, cétonémie, cétonurie.
L’insuffisance surrénale aiguë se caractérise par des nausées, vomissements, diarrhée, hypotension artérielle, hyponatrémie, hyperkaliémie, acidose. L’évoquer notamment après sevrage d’une corticothérapie prolongée.
Les porphyries aiguës (porphyrie aiguë intermittente…) sont un groupe de troubles de la voie de biosynthèse de l’hème présentant des symptômes neuroviscéraux, des lésions cutanées ou les deux.
Toutes les porphyries aiguës proviennent d’un déficit partiel d’une des enzymes de la biosynthèse de l’hème et sont pour la plupart des maladies héréditaires monogéniques de transmission autosomique dominante. Elles donnent des douleurs souvent intenses et trompeuses qui orientent en cas de répétition, de médicaments déclenchants, de signes neuropsychiatriques ou cutanés. Les urines fonçant à la lumière évoquent le diagnostic confirmé par le dosage des précurseurs dans les laboratoires de référence.
Les néoplasies endocriniennes multiples (NEM) sont des affections rares (on dénombre quelques centaines de cas en France), héréditaires et d’expression variable. Elles peuvent se manifester par des douleurs abdominales aiguës, les gastrinomes notamment pancréatiques (syndrome de Zollinger-Ellison avec ulcères gastriques et duodénaux multiples), les tumeurs carcinoïdes intestinales (syndrome carcinoïde, occlusion), les adénomes parathyroïdiens (hypercalcémie), les phéochromocytomes de la surrénale sécrétant des catécholamines (crise d’hypertension artérielle paroxystique avec sueurs, tachy­cardie et douleurs ascendantes notamment abdominales et lombaires).

Angio-œdèmes

Ils se caractérisent par la survenue d’œdèmes sous-cutanés et/ou sous-muqueux transitoires et récidivants responsables d’un gonflement localisé et/ou de douleur abdominale. L’œdème viscéral déclenche la douleur. Des poussées d’œdèmes associées (face ou extrémités) sont évocatrices. Ils sont secondaires à une libération de médiateurs augmentant la perméabilité vasculaire : angio-œdèmes histaminiques allergiques et non allergiques, et bradykiniques souvent en cause dans les formes abdominales. Ces derniers comportent 3 types d’œdème angioneurotique, en rapport soit avec un déficit de l’inhibiteur de la C1 estérase (C1-inh) par défaut de synthèse (type 1) ou fonctionnel (type 2), soit sans anomalie du C1-inh. Des formes héréditaires ou acquises sont décrites. Certains médicaments (inhibiteurs de l’enzyme de conversion) peuvent provoquer un trouble du catabolisme des bradykinines et entraîner un angio-œdème.

Syndromes auto-inflammatoires

Ils sont caractérisés par des poussées fébriles récidivantes et des atteintes cutanées des muqueuses ou des articulations. Ils concernent des affections héréditaires rares : les syndromes périodiques associés à la cryopyrine (syndrome de Muckle Wells…) et les syndromes fébriles périodiques classiques (syndrome périodique associé au récepteur du TNF ou TRAPS, fièvre méditerranéenne familiale ou maladie périodique…). La fièvre méditerranéenne familiale est caractérisée par l’inflammation récidivante des séreuses avec souvent un tableau de péritonite « médicale » exposant à un risque de laparotomie inutile. La répétition des crises dans un contexte inflammatoire est évocatrice. Elle est confirmée par diagnostic génétique. D’autres maladies auto-­inflammatoires peuvent donner un syndrome douloureux abdominal (maladie de Still…).

Causes psychiatriques

Les troubles psychiatriques sont à évoquer dans le contexte, en s’aidant au besoin d’un avis spécialisé.[15]

Troubles somatoformes

Ce sont des manifestations psychosomatiques, essentiellement chez la femme, entre 30 et 40 ans, le plus souvent d’apparition brutale, contrastant avec des examens normaux. Il s’agit d’un diagnostic d’élimination. Le traitement est anxiolytique.

Psychoses

La schizophrénie ou un trouble délirant chronique peuvent s’accompagner d’une réelle douleur et nécessiter une prise en charge antalgique et psychiatrique.•
Points forts
Douleurs abdominales et lombaires aiguës chez l'enfant et chez l'adulte

POINTS FORTS À RETENIR

Devant des douleurs abdominales ou lombaires aiguës, il faut identifier les cas imposant une réanimation, un avis chirurgical d’emblée ou bien un soulagement immédiat.

L’interrogatoire est aussi important que l’examen physique. Il précise les caractères de la douleur, ses circonstances de survenue, les signes associés évocateurs, les antécédents médicaux et chirurgicaux.

L’examen physique est progressif, en commençant par le contrôle des fonctions vitales, l’inspection et la palpation abdomino-lombaires. L’expérience joue énormément, et il faut savoir rechercher dans les cas difficiles des signes extra-abdominaux.

En urgence, certains diagnostics graves ou non sont cliniques et d’autres s’appuient sur quelques examens biologiques (hémogramme, lipasémie, bilan hépatique, bandelette urinaire) ou d’imagerie (scanner, échographie) pour orienter la prise en charge.

L’intensité de la douleur ressentie par le patient n’est pas proportionnelle à la gravité réelle et toute douleur ne nécessite pas forcément une hospitalisation.

Si une démarche rigoureuse permet de régler rapidement la majorité des problèmes diagnostiques et thérapeutiques, des investigations plus poussées sont parfois nécessaires à la recherche de maladies rares en cas de douleurs souvent récidivantes.

Prendre en considération certaines situations avec leurs particularités diagnostiques et étiologiques : la personne âgée, le patient migrant.

Les diagnostics ou complications à ne pas manquer sont le choc hémorragique ou septique, la péritonite, la perforation, l’occlusion intestinale, l’anévrisme aortique fissuré, l’ischémie intestinale aiguë, la grossesse extra-utérine, qui nécessitent une prise en charge urgente.

références
1. Powers RD, Guertler AT. Abdominal pain in the ED: stability and change over 20 years. Am J Emerg Med 1995;13: 301.
2. Gans SL, Atema JJ, Stoker J, Toorenvliet BR, Laurell H, Boermeester MA. C - reactive protein and white blood cell count as triage test between urgent and non urgent conditions in 2961 patients with acute abdominal pain. Medicine 2015; 94(9): e569.
3. HAS et CNP HGE, 2017. Fiches pertinence des soins sur le diagnostic et le traitement de l’infection par Helicobacter pylori chez l’adulte. https://www.has-sante.fr/portail/upload/docs/application/pdf/2017-06/dir83/helicobacter_fiche_pertinence_diagnostic.pdf https://www.has-sante.fr/portail/upload/docs/application/pdf/2017-06/dir83/helicobacter_fiche_pertinence_traitement.pdf
4. SNFGE et GFNG, 2018. Prise en charge du reflux gastro-œsophagien. https://www.snfge.org/sites/default/files/recommandations/cp021-2018zerbib_cp_rgo_revu_2018_plus_qcm_3.pdf
5. HAS, 2012. Appendicectomie. Éléments décisionnels pour une indication pertinente. https://www.has-sante.fr/portail/upload/docs/ application/pdf/2012-12/texte_court_appendicectomie_ vd_2012-12-17_16-14-13_679.pdf.
6. Salminen P, Tuominen R, Paajanen H, Rautio T, Nordström P, Aarnio M, et al. Five-year follow-up of antibiotic therapy for uncomplicated acute appendicitis in the APPAC randomized clinical trial. JAMA 2018; 320(12):1259-65.
7. HAS, 2017. Prise en charge médicale et chirurgicale de la diverticulite colique. https://www.has-sante.fr/portail/upload/docs/application/pdf/2017-12/fs_diverticulite_v5.pdf
8. SNFGE, 2014. Conduite à tenir lors d’un premier épisode de colite aiguë. https://www.snfge.org/content/cp025-conduite-tenir-lors-dun-premier-episode-de-colite-aigue
9. SNFGE, 2016. Prise en charge du syndrome de l’intestin irritable (SII). https://www.snfge.org/content/cp034-prise-en-charge-du-syndrome-de-lintestin-irritable-sii
10. Thésaurus national de cancérologie digestive, 2014. Cancer des voies biliaires. https://www.snfge.org/sites/default/files/recommandations/tncd_chap-8-cancer-voies-biliaires_2014-01-24.pdf
11. HAS, 2016. Pyélonéphrite aiguë de la femme. https://www.has-sante.fr/portail/jcms/c_ 2722914/fr/pyelonephrite-aigue-de-la-femme
12. HAS, 2017. Prise en charge de l’endométriose - démarche diagnostique et traitement médical. https://www.has-sante.fr/portail/upload/docs/application/pdf/2018-01/prise_en_charge_de_lendiometriose-demarche_diagnostique_et_traitement_medical_-_fiche_de_synthese.pdf
13. Bagou G, Hamel V, Cabrita B, Ceccaldi PF, Comte G, Corbillon-Soubeiran M, et al. Recommandations formalisées d’experts 2010: urgences obstétricales extrahospitalières. Ann Fr Anesth Reanim 2012;31(141):652-65.
14. Bartoli M, Berny C, Danel V, Delahaye A, Desch G, Guitton J, et al. Recommandations pour la prescription, la réalisation et l’interprétation des examens de biologie médicale dans le cadre des intoxications graves. Ann Biol Clin 2012;70(4) : 431-50.
15. ECN Référentiel de psychiatrie, 2015. http://www.asso-aesp.fr/wp-content/uploads/2014/11/ECN-referentiel-de- psychiatrie.pdf

Dans cet article

Ce contenu est exclusivement réservé aux abonnés